断针可能原因

本文结合临床以及CT分析,揭示为什么下颌磨牙近中颊侧根管容易断针,为什么不容易取出。图四是五十九岁吴先生左下第二磨牙近中根CT冠状切面(B:颊侧;L:舌侧),显示颊侧(图五红色)和舌侧(粉红色)根管融合,融合上部膨胀(*),下部突然变细。

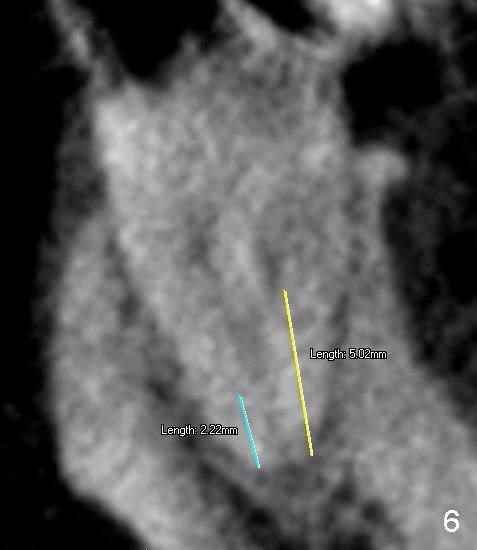
颊侧根管进入融合处比较突然,容易断针原因。融合根管上部粗,下部细,所以容易bypass断针上部(这时工作长度十六毫米,原来十八毫米),却不能bypass断针最后两毫米(图六蓝线),黄线代表断针长度(五毫米)。

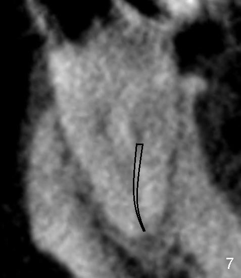
图七示意图显示断针(黑线)弯曲,卡在根管交界处(从近中颊侧根管进入融合处)。如果要取出断针,需要多除去断针上部周围牙体组织,根据这个方向断面,好像perforation危险性不大。

由于近中颊侧根管弯曲厉害,我们应该先扩大近中舌侧根管,用rotary file多除去融合根管里细菌,万一扩大近中颊侧根管时,出现断针,预后可能好些。为了安全起见,近中颊侧根管应该多用普通扩大针,对于这个病例,普通扩大针用到三十号,然后使用rotary file30/.04,断针可能性会减少。

Xin Wei, DDS, PhD, MS 1st edition 04/06/2013, last revision 04/07/2013