![]() |
|
![]() |
![]() |
![]() |
|
顺藤摸瓜
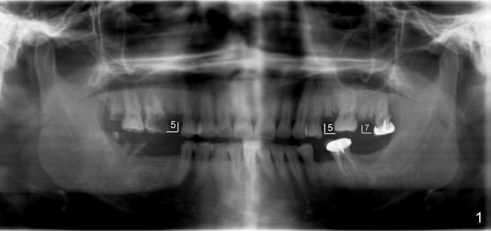
范女士牙齿不好,终于决定做植牙修复,要求先做前面牙齿,尤其是上颌第二双尖牙(图一:左右5)。第一次植入两个种植体(图一:左上5,7,同时拔牙),很顺利,即刻植牙好比顺藤摸瓜。第二次准备种右上五号牙,那里骨头高度绰绰有余(图一),好像也是小菜一碗。
不过先做右上六根管治疗(图二:6),图二再次证实五号牙处骨头高度。
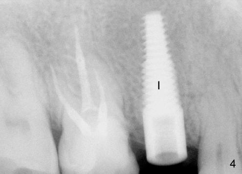
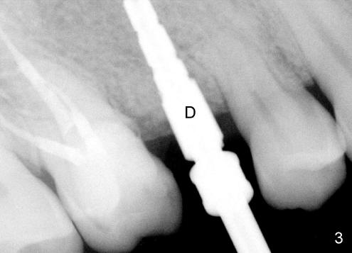
颊舌侧骨头宽度也很充足,所以使用钻头形成植牙床(图三:三点五乘十七毫米钻头(D)),之后植入四点五乘十七毫米种植体(图四),其实一个植牙花的时间比两个还长,为什么?
Xin Wei, DDS, PhD, MS 1st edition 06/12/2013, last revision 06/13/2013