![]() |
![]() |
![]() |
![]() |
反潮流
为了取得即刻植牙原发性稳定性(primary stability),一般需要在牙槽窝外钻洞至少四个毫米,形成新鲜创面,其实不必那么死板。四十三岁范女士牙齿不好,但是骨头特别结实,左上第二双尖牙断根不短(图一粉红色,大约十四毫米),根尖到上颌窦底板(红线)和鼻腔底部(蓝线)估计好十几毫米,我们使用最长植牙二十毫米,但是并不需要那么长,我们准备十七毫米长植牙。
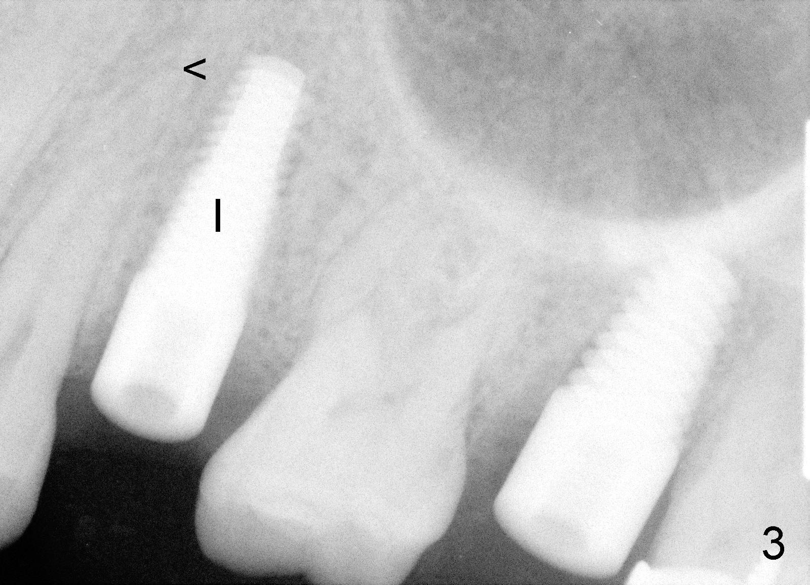
牙根拔除后,牙槽窝深度十六毫米(从牙龈缘算起),开始钻洞十七毫米深,一直用到钻头直径四点五毫米,然后用适当力量旋入五乘十七毫米tap(图二),后者与牙槽窝接触很紧,突然意识到即刻植牙后,牙龈会有所退缩,所以钻洞再深一毫米,最后旋入五乘十七毫米植牙(图三I),torque超过六十Ncm。原先第一双尖牙(图一黄线)比第二长些,术后植牙稍微比第一双尖牙长(图三箭头),总之在新骨头里钻洞不需要太多,在这个病例里,大约二个毫米。
为什么能取得很好稳定性呢?第一,骨质密度高,第二,牙根长,第三,选择的植牙直径比牙根近远中宽度大,植牙植入时,紧紧与近远中骨壁接触(图四镜影像),舌侧间隙(箭头)几乎微不足道,颊侧间隙(B)大些,但不需要植骨或者放置membrane,做颊侧游离切口,然后与舌侧牙龈对缝,关闭伤口,最后用perio dressing保护伤口。由于车祸,术后十一个月病人才回治所复查,种植体正常。
总之,多种因素决定立刻植牙原发性稳定性,有时不必钻洞太深,选择直径稍粗植牙。
Xin Wei, DDS, PhD, MS 1st edition 05/16/2013, last revision 05/01/2014