![]() |
![]() |
![]() |
![]() |
|
![]() |
![]() |
![]() |
||
![]() |
![]() |
![]() |
![]() |
|
Over-Engineering?
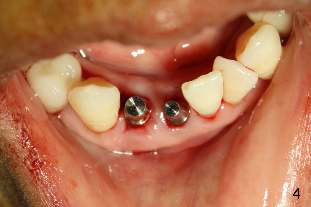
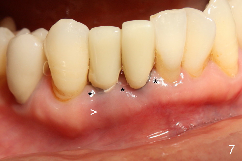
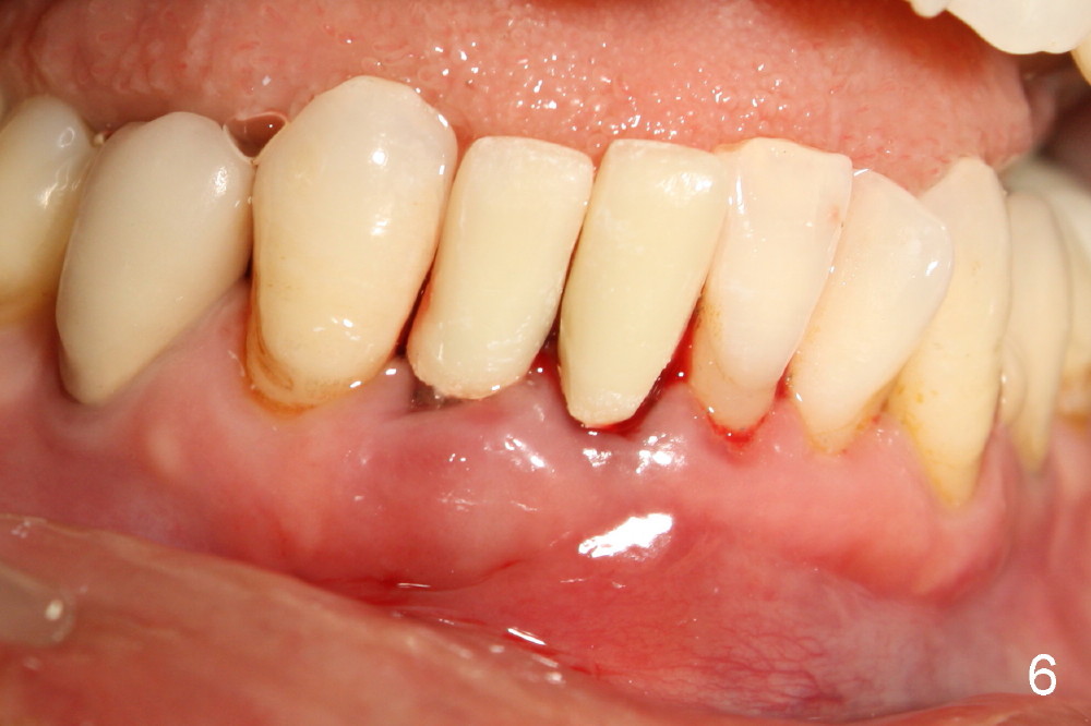
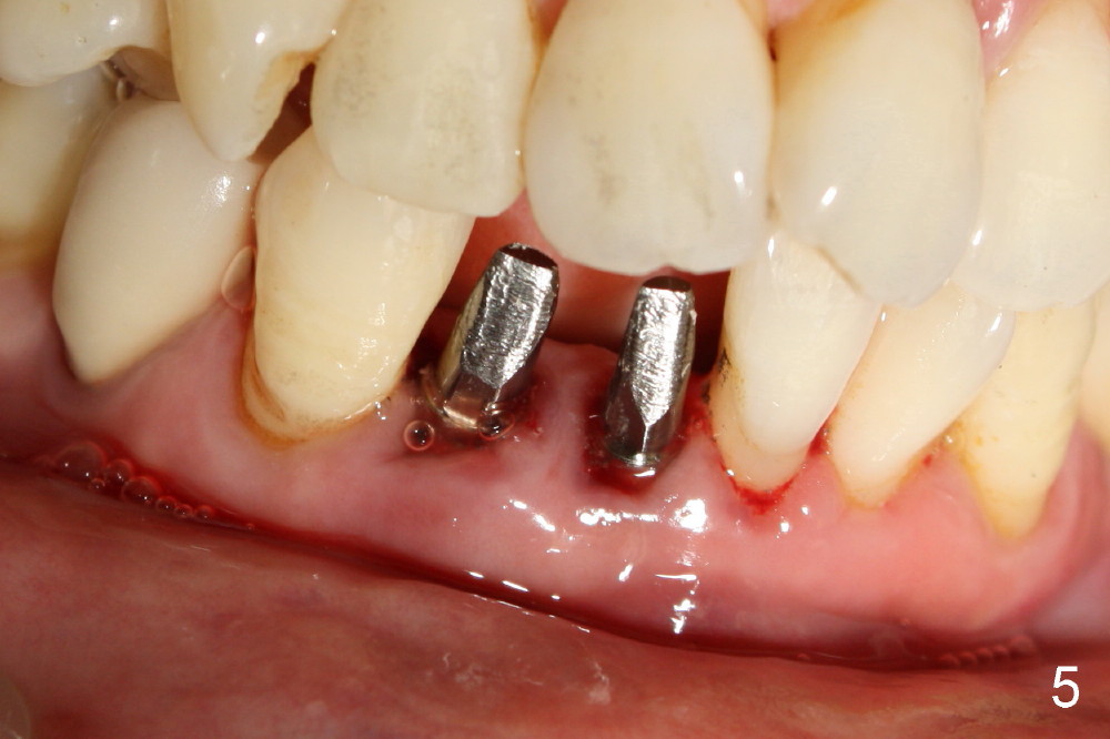
A 60-year-old lady wants to remove 2 mobile lower right incisors (Fig.1,2; with infection at the lateral (>)). Immediate 1-piece implants are placed (Fig.3,4): 3x17 mm at the central, 3.5x17 mm at the lateral. Insertion torque is > 60 Ncm for the implants. No bone graft is placed. After prep (Fig.5), two separate provisionals are fabricated (Fig.6). The one at the lateral incisor looks bulky at the cervix, because of the oversized implant for the site (over-engineering). Use of smaller implant (3.0 (instead of 3.5), 2.5 (instead of 3.0) or 2.0 mm) may solve the problem. Seven days postop, the infection resolves (Fig.7 >) with normal-looking papilla (*).
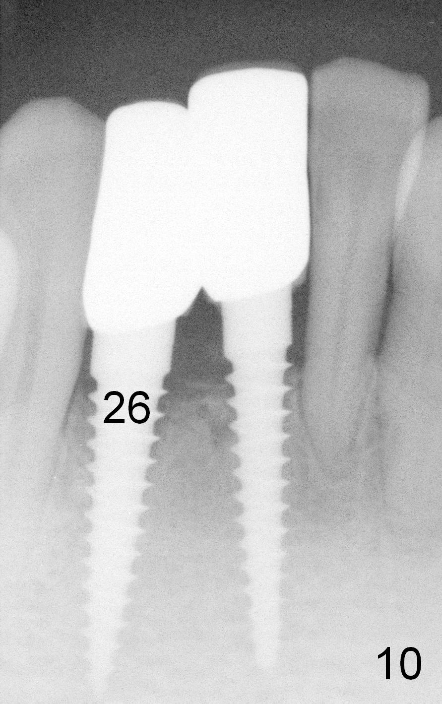
Fig.8,9,10 are taken 4 months postop, immediately and 2 years 2 months post cementation, respectively. They show that peri-implant gaps are reducing. There is no buccal atrophy atrophy 2 years 2 month post cementation (Fig.11 *).
Return to Lower Incisor Immediate Implant
Xin Wei, DDS, PhD, MS 1st edition 05/29/2013, last revision 01/27/2019