|
![]() |
![]() |
![]() |
即刻植牙可行性
刚上植牙学习班,老师推荐前牙即刻植牙,有利于外观恢复。如果牙槽窝有感染,刮除肉芽组织后,应该使用四环素糊剂(用生理盐水溶解),目的并不是因为它抗菌能力,而是它的酸碱性,之后用盐水冲洗。即刻植牙之前,用探针检查颊舌侧骨壁是否有缺损,如果缺损不大,炎症不严重,放入membrane和植骨后,可以立即植牙。如果牙槽窝流脓,不宜植骨。几周后植骨,几个月后植牙。他们认为这样最可靠。
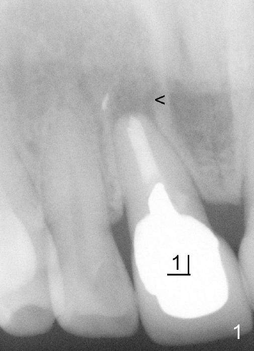
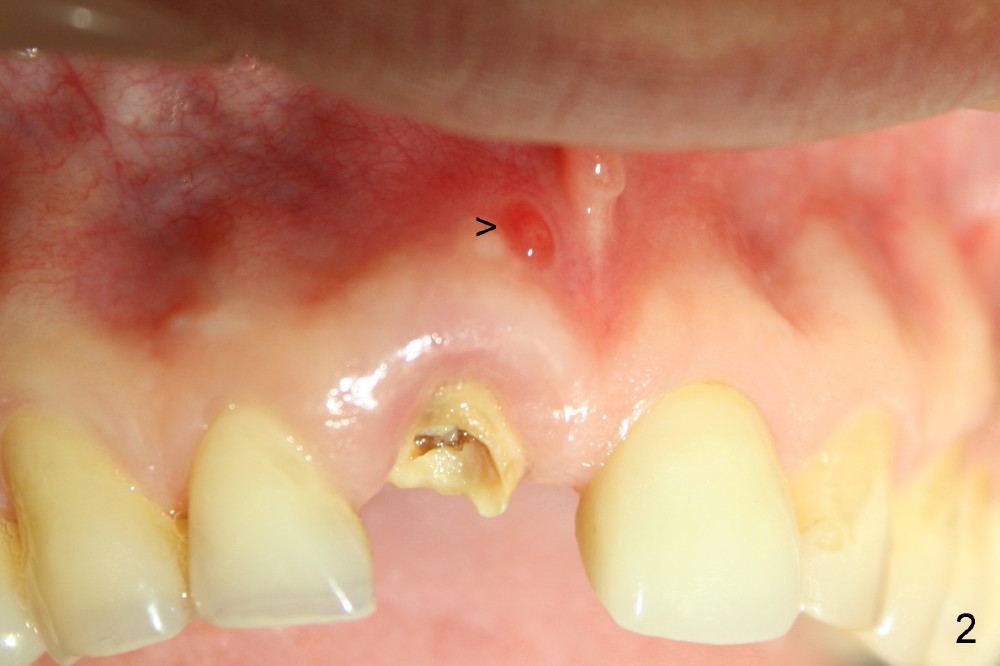
其实临床情况千变万化,处理方法可以有所变化。朱女士六十来岁,后牙缺失严重,右上中切牙根管治疗重做后感染复发(图一*:根尖阴影),但是没有任何症状,不久牙冠脱落,根尖瘘道(图二箭头)。估计炎症不是那么严重,拔牙后,常规牙槽窝处理,开始即刻植牙。处理颊侧根尖缺失办法,不是植骨,理由是植骨和植牙同时进行,增加身体负担,它们都是异物。
植牙窝适当远离颊侧根尖缺失处,植牙过程可能自行缩小,关闭缺失,最后身体自然修复。
好了,让我们看结果。图三显示即刻植牙,六个月后根尖瘘道消失(图四),愈合基台(healing abutment)近远中牙龈乳头(*)与术前没有多大区别,说明即刻植牙在愈合中维持牙龈外形。今后牙龈谅比正常,我们下次见。
Xin Wei, DDS, PhD, MS 1st edition 06/22/2013, last revision 06/23/2013