![]() |
|
![]() |
![]() |
![]() |
|
![]() |
![]() |
![]() |
![]() |
||
![]() |
![]() |
![]() |
![]() |
||
![]() |
![]() |
||||
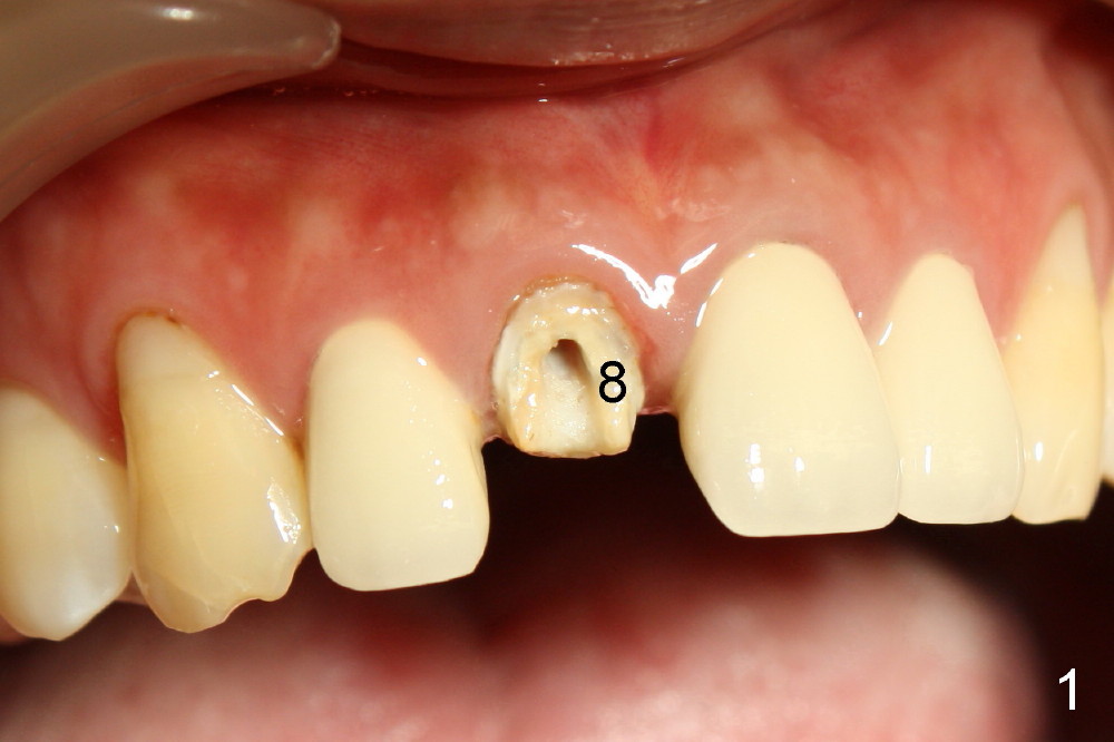
上切牙立即植牙
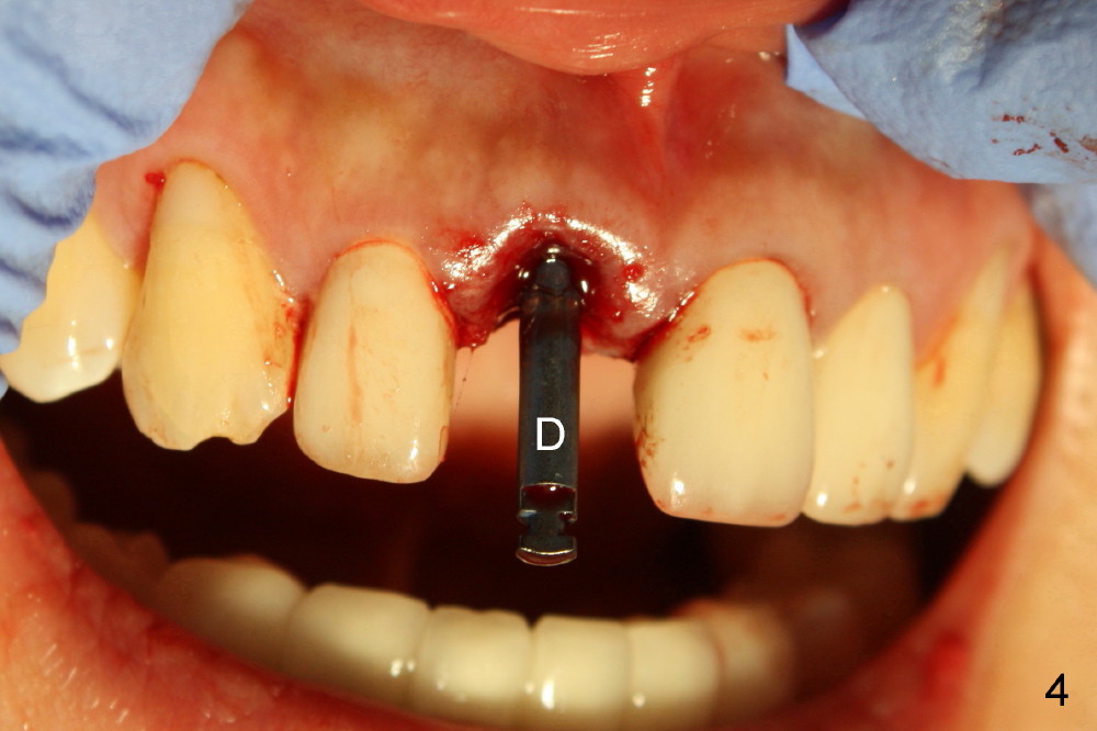
四十四岁女病人上颌中切牙突然断裂(图一:8),经过讨论,她同意植牙。由于根尖(图二黑线轮廓)上方骨头很多(箭头:鼻底),适合立刻植牙。牙根长度十一毫米左右,宽度约五毫米,准备植入直径五毫米植牙。拔牙后使用两毫米钻头,深度二十毫米(图三从颊侧牙龈缘算起),超过牙槽窝底部接近七毫米,所以植牙至少有七毫米新骨支持,将非常稳定。然后逐步使用2.5, 3.0, 和3.5毫米钻头,同一个深度,边钻边注意钻头(图四:D)近远中(图四)以及颊舌侧(图五)方向。
图六是CT扫描,显示中切牙以及牙槽骨矢状切面(B:颊侧)。拔牙后,如果我们沿着牙齿长轴钻洞(图七:红长箭头),势必将使菲薄的颊侧骨板穿破(X),其实牙槽窝舌侧(L)有很多骨质。钻洞必须在舌侧骨板中点开始(箭头),但是舌侧骨板是一个斜坡,起初钻洞必须与舌侧骨板垂直(图八:箭头),否则钻头会打滑。一旦钻头初步进入骨质,必须改变钻头方向:沿着牙槽骨长轴前进(图九:长箭头),否则舌侧骨板也会穿孔(沿原来短箭头)。边钻洞边用拇指和食指握住颊舌侧骨板,把握钻头方向。图十显示上颌中切牙处五乘二十毫米锥形植牙设计。
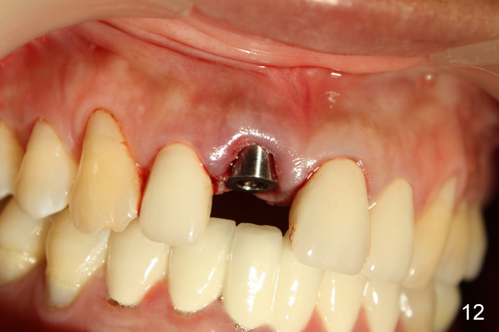
当我们拔出3.5毫米钻头(图五:最后一个钻头)时,就可以看见在舌侧骨板植牙洞型制备(图十一:圆圈)。图十二,图十三分别显示立刻植牙正面观和切缘观,植牙几乎占据所有牙槽窝空间,不需植骨或者缝线。植牙好像没有侵犯邻牙牙根(图十四,图十五,包括七号牙:侧切牙),其实只要熟悉局部解剖(图六至图十),即刻植牙反而容易进行。图十五虚线代表切牙孔,挺接近植牙(I),术后渗血较多,可能与此有关。除此之外,术后病人恢复很快。
Xin Wei, DDS, PhD, MS 1st edition 12/20/2012, last revision 12/22/2012