上颌窦里潜在骨头
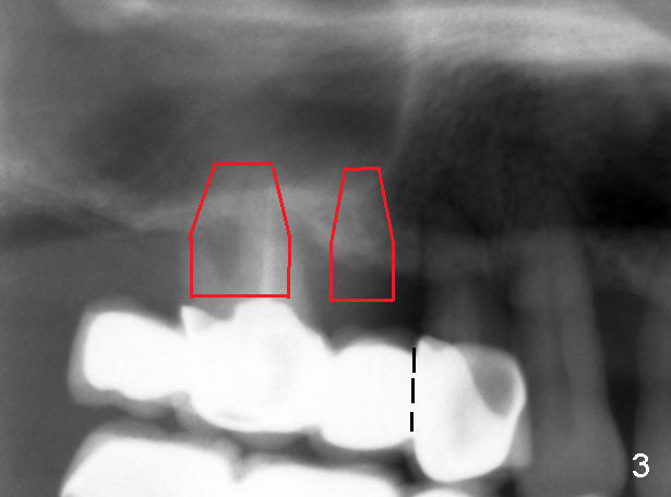
十天前我们初步讨论徐博那个疑难病例:右上4-7牙桥两到三度松动,如果问题在第一磨牙(图一:6),在4与5之间切断牙桥(图三虚线),拔除磨牙后即刻植牙(图三:大的红框)。虽然那里上颌窦底骨壁均为厚2mm左右,但是在那个磨牙牙根尤其是鄂侧根根尖处骨壁可能不止2mm,好像拱形(图二箭头,与图一对比)。所以第一磨牙处可以植入8x11mm植牙,不过需要做sinus
lift,可以完全用骨凿(从细到粗)形成植牙窝(Osteotomy),而不用钻头,这样不损失自己骨头,不需要植骨。如果时间允许,可以同时在第二双尖牙处植牙(图三:小方块,预计4 or 4.5x11mm)。
十天来对以上设计有双重心情,尤其是对那虚无缥缈的上颌窦里骨质(图二箭头),内心不踏实。
昨天在左上七做根管治疗(图四),二十一岁女孩,嘴巴小,做的很辛苦,术中拍摄根尖片(图五),突然领悟到一个道理。由于上颌窦底板骨皮质明显(图四红箭头),我们认为上颌骨高度仅仅由黑箭头表示。其实一部分根尖深入上颌窦,那里必有骨质,所以上颌骨高度应该由两部分组成(图五:3.46mm
+ 7.54mm),而且最后三个毫米可能对条件不好病例植牙有帮助(例如徐博病例)。
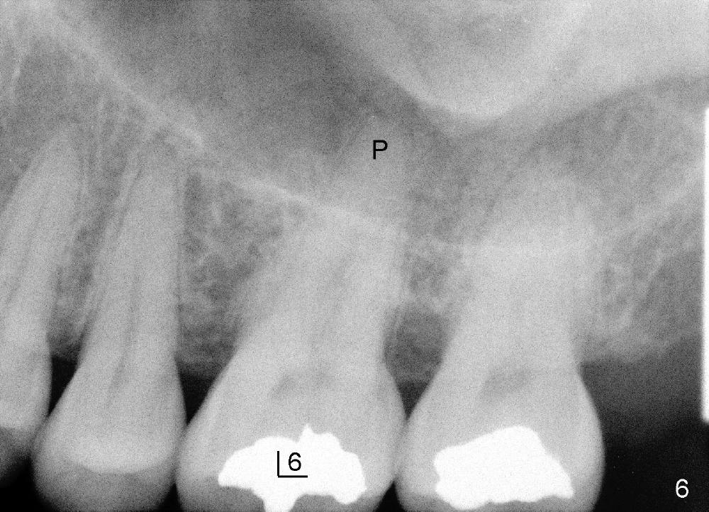
让我们再举例说明证明上颌窦中有骨质:三个月前,四十来岁女士来诊所诊治,左上六不适(图六),咬合面有一个大块银汞充填,周围有裂纹,去除银汞充填后,裂纹延伸至髓腔顶(图七),好像不到髓底,所以尝试根管治疗,但是疼痛没有消失,我们临时决定拔牙立即植牙,但是当时没有足够时间注意上颌窦底板,两眼直盯鄂侧根尖(图六:P),因此最后植牙就植入那么深(图九:I),晚上欣赏自己“杰作”时,才发现上颌窦底板(箭头),虚汗一身:一大节植牙捅进上颌窦,马上打电话给病人,她有些鼻血,但是她还不愿意回来复诊。拔牙后准备在中隔正中植牙,使用骨凿,tap形成植牙窝,后者颊侧骨壁有小面积穿孔,但是上颌窦膜还完整,最后植牙掉入鄂侧牙槽窝(图八;S:中隔;MB:近中颊侧牙槽窝;DB:远中颊侧牙槽窝),植牙很牢,torque>60Ncm。
但愿我的目的达到了,多多谅解爱钻牛角尖的学友。
魏心兄弟:感谢您再次投入讨论并不断提出病历。
那位律师在我的积极举荐下再次咨询了九院的种植专家,据他自己回话,围绕我的那个“人造牙槽嵴堤”以恢复正常的根冠比进而谋求长远期良好的咀嚼功能”之设想,其他专家也认为,像他这种平坦的普遍吸收类型欲“重塑牙槽嵴”是非常困难的,即使是植入自体骨也没有成功的把握。
据这位老兄自己袒露,他还就我这个医生的资质和能力甚至寻访了政法部门工作的我们的同学,我想那应该是吴国荣兄弟了。好在我这个人一辈子刚正做人勤勉行医,倒也不怕”暴““晒”。
这就不去管它了,现在他算是死心塌地的回头了。约定下星期签字,再下星期“立即执行”了。请听下回分解。
关于您在下文中讨论到的右上4--7区域种植的问题,计划在左上6--7种植修复完成前这段期间暂时保留使其行使咀嚼功能,也就"判个缓期“吧。等左上开始行使功能了再干右上。不然的话,病人会比较辛苦,双侧均无法咀嚼。至于是否拔牙--拆桥--即刻种植--上颌窦外提升一次完成还是先拔牙拆桥后提升种植分两步走,问题都不大,都可行,到时再与他本人商量。
感谢您投入如此多的时间和精力传经送宝。希望这种讨论能继续下去,还有更多的同学参与。xu
jianan Sunday, June 23, 2013 5:42 AM
健安:第一例,律师病人左上先做可以,有什么特殊处理方法?我认为难度更大。能寄来局部CT吗?
回牙科学术讨论园地
Xin Wei, DDS, PhD, MS 1st edition 06/04/2013, last revision
06/23/2013