Is This Implant Nude in the Sinus (Fig.4)?

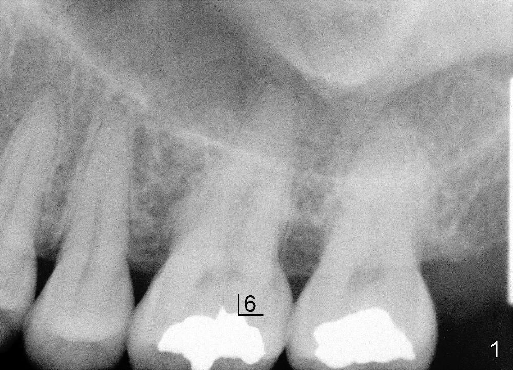
A 49-year-old lady has toothache at the upper left 1st molar (Fig.1).  Removal of the occlusal amalgam reveals crack lines (Fig.2).  After atraumatic extraction (sectioning), osteotomes are used to form osteotomy in the septum (Fig.3 S).  Finally the osteotomy seems to drop into the palatal socket.  No bone graft is used.  The socket is closed by elavating the buccal flap (Fig.3) and severing the periosteum.  Periodontal dressing is applied for wound protection (Fig.4 P). Is the implant in the sinus (S)?

Upper Molar Immediate Implant

Xin Wei, DDS, PhD, MS 1st edition 10/13/2013, last revision 05/18/2018