我的处理方法
全景片分析表明(图一):下颌第三磨牙近中阻生,似乎非拔不可,而上颌智齿位置太高,拔除非常困难,告诉病人妈妈,她好像讽刺地说口外医生常规拔除四个智齿,为什么你不行?心平气和地解释专家有时也下不了手术台,拔除上颌智齿可能弊大于利,今天先拔除下颌智齿,如果时间充裕,再决定是否拔除上颌智齿,妈妈同意。
全景片还显示下颌减数矫正(少两个双尖牙),原来病人以前前牙反合,矫正后前牙第一类咬合,所以面部侧面观尚属正常,而后牙仍是第三类,所以上颌第二磨牙没有咬合功能,往下面延伸(箭头),所以现在不拔上颌智齿没多大问题。这时问妈妈为什么当时不选择正合治疗(orthognathic
surgery),她说手术太可怕。其实这时我已经患一个极大错误,能猜出?不应该反讽刺病人妈妈,应该反省自己:新的发现应该帮助及时更改治疗计划,当时执迷不悟。
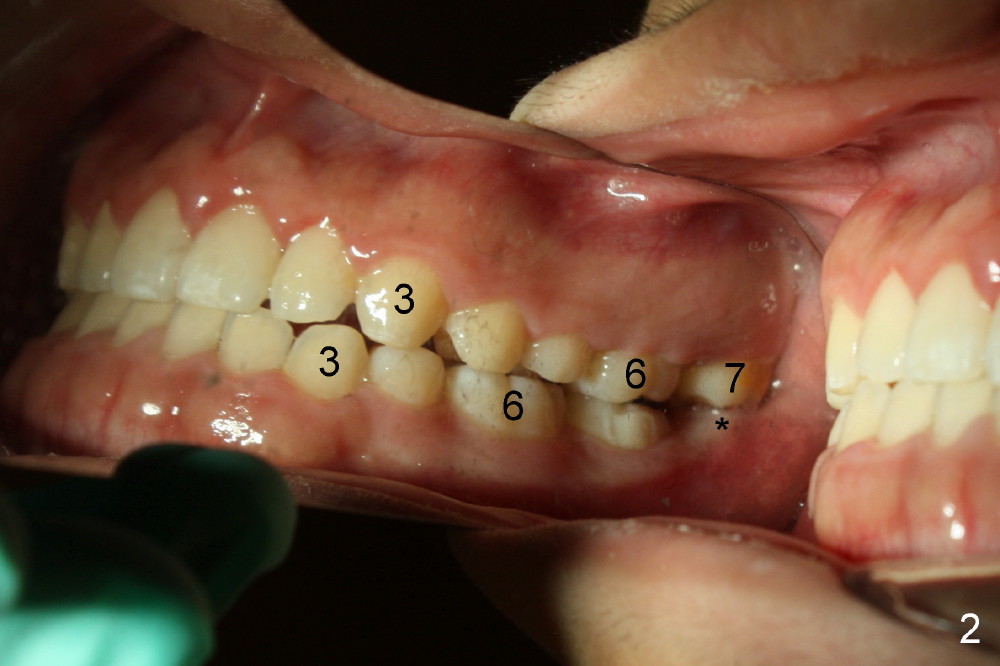
打完下颌神经麻药,乘麻药还没有奏效,拍摄图二至图五,图二,图三显示前牙第一类咬合,而后牙第三类,上颌第二磨牙(7)咬在下颌牙龈(*,仿佛形成白斑(leukoplakia))。图四,图五显示上颌第二磨牙向下伸长。那时我还不具有力挽狂澜能力。那么这四个智齿该拔吗?
如我处理这Case,我会这样:
1)先拨左右下智齿#17 和#32 now
2)每年随访左右上智齿 #1和#16 by X ray exam
3)拔#1,#16 based on their position by 18yr or late
TZM
理由另发
虽不搞口腔,但我赞同田大医师的策略:)
Xiaoshan
田医师:我在等您的理由。我的处理和想法与你完全一致,但是还没有完成下颌智齿拔除前,我就开始后悔,恨不得把牙齿插回去。其实拔除可能也对,但是有更好的方法吗?
智敏兄,我完全同意你的处理意見,17号,32号智歯牙根尚未形成,拔掉最容易,损伤少。1号和16号位置尚高,沒有推挤前面牙,可以wait and
watch. 当然用distal 导板引导下面智齿回到正常位置,也是可以试试,效果不肯定,就这个男孩颌骨发育耒看,两个磨牙足够了。Harry
Sun
老大哥:
能不能介绍:用distal
导板引导下面智齿回到正常位置?其实这位病人下颌骨发育过度,下牙往前面移动或者说错位,下颌双尖牙拔除做矫正,让前牙恢复正常覆合覆盖,但是后牙仍然属于Class
III错位,也就是上颌第二磨牙咬在下颌智齿上,所以后者最好不要拔。专家或者病人以及家长建议只能作为参考。听话,要听党的话?
既然下颌智齿已经拔除,如何处理残局?Xin
魏心医师,关于distal
导板正如老田所说的是一种间隙保持装置,我的合作的矫正医生曾介绍一位病人是用这个方法,但是那位病人近中倾斜的后牙萌出比你的病人要髙。对于你的病人因为是第三类错位,如果不拔,牙列向近中的移动压力始终存在,对维护現有的矫正成果不利,当然还有造成第二磨牙远中蝺,吸收,炎症等不利因素,所以及时拔掉下颌第三磨牙是对的。关于以后的处理,我更倾向老田的第四方案,現在观察,无为而治为好。下面己拔了一对双尖牙,又拔了一对智齿,以后長大了植牙在后牙區的必要性,值得商量。在以后上面的牙倒可以考虑拔掉一对,以平衡下面牙列。因我不做矫正,以上意見仅为拋砖引玉。Harry
老大哥:谢谢多distal shoe解释,Peter不愧Pedo专家。但是匆匆忙忙拔除下颌智齿,主要怕第二磨牙远中蛀牙,不过由于病人下颌特别发达,近中倾斜智齿可能会自动矫正,原来矫正医生如果把上颌第二磨牙压上去就好了。总之,多讨论对谁都有帮助。
谢谢老大哥,晓珊的鼓励,
谢谢魏新与我们一起分享他的病例,並让我来参加讨论
1)是否要拔智齿
答:要拔,尤其是左右下颌的二个#17 , #32,有可能造成牙体,牙髄,牙周及牙槽骨病变。见附图,我的一病例#17阻生,造成前面#18远中根严重吸收。
2)拔后如何修复
答:因是三类错颌,成人后(18yr)#17 #32应植牙与上第二磨牙建立功能
3)有旡替代方法,不拔下智齿
答:矫正拊正(Upright)近中骨阻生下智齿,暂无有效手段。
4)老大哥的distal 导板
答:我理解英文应是distal shoe,这与Band and
loop都属间隙保持器,多用于混合牙列,以防恆牙牙列拥挤,不能制造足够空间。在此病例,估计不work。注:对此我有些经验,如有问题,感兴趣的同学可直接给我email。
这是在此最后讨论,並建议此项讨论应转至兴趣小组,以免打扰其它同学们。
再次谢谢大家的时间
田智敏
以家长和患者的身份,我也来参加讨论:
下面俩个都拔了,
还留上面的干吗?Wen
Wen:
Peter和老大哥都说过现在上颌智齿位置太高了,很难拔,等十七八岁再拔还不晚,现在他十五岁,下颌发达,而上颌相对不足,上颌智齿肯定无用。
谢谢对这个病例有兴趣,Peter怕我打搅太多同学,好像并不是那样。三十年前我们十分羡慕张陈平和小沐手那么巧,就象徐健安欣赏郭伟旗技巧。随着时光消失,我开始意识到自己脑力不足,如果肯动脑筋的同学(包括王主席,你和大班长)也下海搞口腔,可有优势。我可要天天打电话给您们请教,或者赖在您们家,直到NY把我赶出来。
如果以上解释还不够,可参考以上(my original version why I did not
take upper wisdom teeth as well as conflict with the patient's mom)
谢闻兄提问,
上面有关的牙有两组,上智齿和上第二磨牙。
1)此患上智齿现在高位,等move down以后会再拔(如18yr)的,容易多了。
2)此患是Class III
Malocclusion,下颌前超(反颌)。上第二磨牙对咬下智齿,在下智齿拔除后即失去功能並会伸长(supereruption),对应之法可有几个选择:
(1)成人后,下智齿处植牙
(2)下颌骨矫正手术(Orhognathic surgery)
(3)拔上第二磨牙
(4)暂不作任何治疗
我会和病人详细讨论各治疗的各种利蹩,建议(1),(2)或(4)。
TZM
Peter: Supraeruption of the upper
2nd molars happens before extraction of the lower wisdom teeth. I am afraid that
there was no banding or bracketing the upper 2nd molars.
回牙科学术讨论园地
Xin Wei, DDS, PhD, MS 1st edition 06/02/2013, last revision
06/05/2013