![]() |
新病例:四颗智齿需要拔吗?
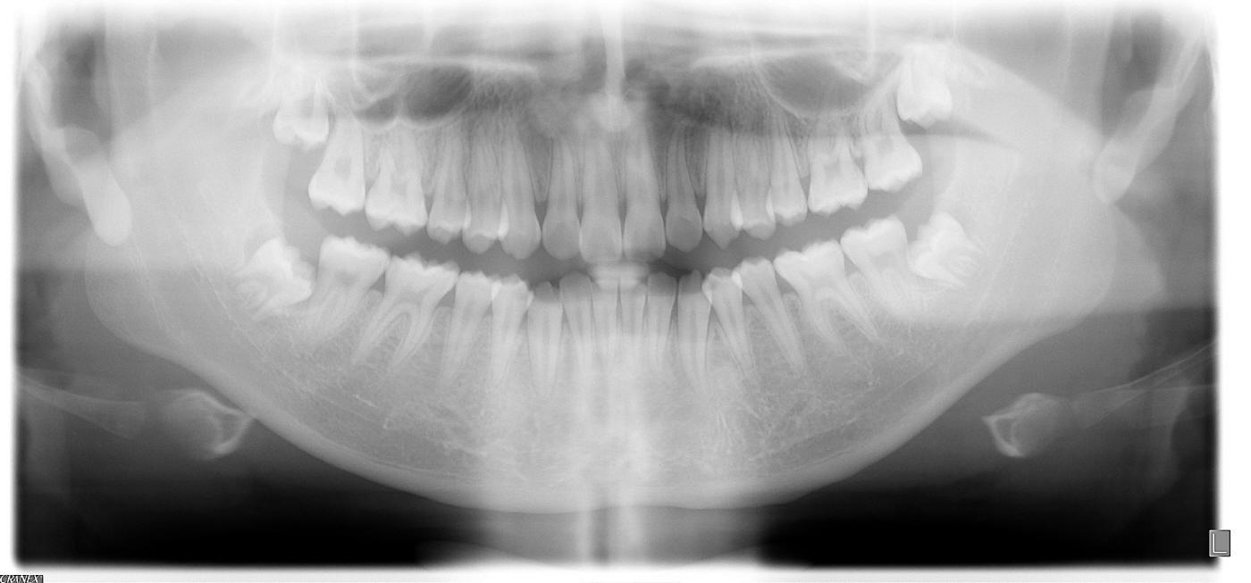
这次讨教大家:十六岁男孩,正畸医生建议拔除四颗智齿,然后做矫正,该拔吗?谢谢。放大全景片
应该拔除,正畸医生比口外医生看的远,虽然现在拔牙手术有点困难,但是对于正畸医生来讲,拔了智齿,便于牙齿向远中移动,正畸的难度降低,正畸矫正过程时间减少,术后复发几率减少。汪贻静
汪大夫:上颌智齿好像不影响矫正,而且那里拔除劳民伤财,尤其是当颊部特别厚,视野差。我力争打电话给正畸医生,了解磨牙咬合关系,是否第二类错合。谢谢。
小沐:电话表示拔除智齿对矫正没帮助。
Xin Wei, DDS, PhD, MS 1st edition 06/11/2013, last revision 06/12/2013