![]() |
|
||
![]() |
![]() |
![]() |
![]() |
![]() |
![]() |
![]() |
![]() |
Sinus Lift Design
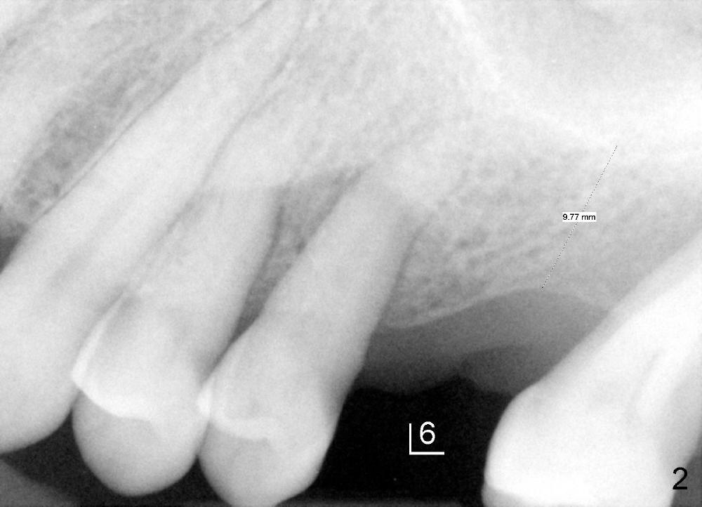
A 52-year-old man has periodontitis (Fig.1.2). The teeth #2 and 15 have been extracted (Fig.1 *). Those labeled as # have received root canal therapy.
He wants to have implant at the upper left 1st molar first. Fig.3 is a sagittal CT section of the edentulous area (4-5 years after Fig.1,2 was taken). It shows limited bone height (~ 3 mm) at the thinnest region, but it is thicker mesially (M) and distally (D): ~ 7 mm. Therefore a large implant (7 or 8 mm, Fig.5) can gain more bone height than a small one (5 mm, Fig.4). Trephine bur may be used to push the whole piece of bone upward (Fig.6). Trephine burs, osteotomes or bone expanders may be also used for sinus lift.
Fig.7 is a coronal section of the upper left 1st molar edentulous area. It also shows the same concept as Fig.3. As bone moves buccally (B) and lingually (L), height increases. A large implant (Fig.9) will contact more bone than a small one (Fig.8). A cylindrical implant (Fig.10) can increase bone contact than the tapered one (Fig.9) with the same diameter and length.
Preparation for Sinus Lift, Instrument
Xin Wei, DDS, PhD, MS 1st edition 06/09/2013, last revision 11/30/2014