![]() |
|
![]() |
![]() |
![]() |
|
牙周病病人下切牙植牙
智敏兄:
非常感谢越洋电话并费时近一个小时的讨论,详述了您的宝贵经验和看法设想,受益匪浅。具体操刀详细情况随后报告。
现将电话里谈到的下颌前牙种植病例报告如下,望指正。
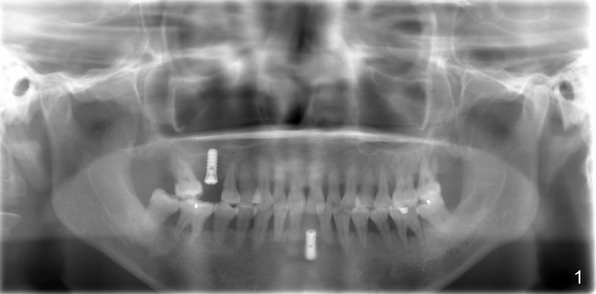
57岁 女性 中度牙周病 牙槽骨普遍中度吸收。(见全景片)
经牙周洁治基础治疗+Paliot牙周软膏+两周后深度刮治+软膏注入两次,一个月的疗程,牙周红肿完全消失,牙齿松动普遍回到一度。
原有7--7长桥修复的想法,估计能维持10年左右吧。我们对不少对种植有顾虑的患者实施过这种方案,吉拉也参与了部分牙周病治疗的工作。但10年以后呢,还是得种植修复长桥,否则就只剩下全口活动义齿了。所以,改为缺一颗种一棵,分期完成最终的种植体长桥的宏伟计划。
三天前种植手术。
1,右上6上颌窦内提升2.5mm,植入4.1x10mm种植体,因右上7有近中倾斜并前移,5--7邻牙间距仅7.5mm,故选择了常规颈,包埋缝合。
2,左下1舌侧附着龈切口,翻开唇侧粘骨膜瓣,测量牙槽嵴唇舌侧厚度仅4mm,唇侧牙槽嵴下方明显凹陷,约厚3.5mm。证实了术前预估的骨量情况,如孔道唇侧侧壁穿孔就植骨粉,已和病人交待。
为了提高种植体的稳定性,钻孔时小心翼翼,长轴的近远中特别是唇舌侧角度一点都不敢大意,只打了两钻,非常幸运没有侧穿!!但孔道侧壁骨壁可透光,住院医的手术记录为”薄如蝉翼“,”妙“。(终于没白教她们,懂得了体会其难度)
不敢打第三钻了,改为攻丝,植入3.3x12mm骨水平美学种植体,透过骨壁种植体清晰可见。
一期稳定性是有了保障,但由于种植体唇舌侧骨壁太薄远期是否会骨质吸收导致松动?
所以,还是在唇侧骨面上种植体的两旁各打了几个小眼使其出血,植入Bioss骨粉,上覆盖Biosmate骨膜,减张包埋缝合。
附上照片一阅。
今天来复诊,肿胀不明显,但愿能一期愈合,”以观后效“。
我的体会,结合以往病例经验,下颌切牙区种植比上颌切牙区种植还要难。要命的骨量。徐健安
Jianan: 先谈第二个病例,做得太好了,暴露好,摄影技术高超,超薄颊侧骨壁应该没有问题。虽然表面植骨我认为没有必要,但是做了好像不会影响愈合。我能利用您的照片和材料发表在我的网站吗?在组织您的病例过程中,我可能才能深刻领会您治疗计划和手术伟大性,万一发现问题,我也会毫无保留地提出。对您牙周病总体计划(十年计划)举双手同意。任何部位植牙都不容易。
凭现在露出的技巧,您处理第一病例完全没有问题,您考虑够周到了。其实出了问题,我们才会提高医术。似乎一两周我没有在email中骚扰大家,并不是没有破思路或者烂病例。前天和昨天参加尸体/植牙学习班,接受了新的启发,不过巩固自己歪理论。如果今天有机会,写出来,亮相。
健安:您的病例已经发表,您提出的方案:缺一颗种一棵,很好,如果病人经济没有问题,完全做得到。例如前牙,使用直径三毫米one piece implant,每个缺牙都可以植牙,分期完成,最终的种植体修复,不必做长桥,局部短桥更好,做单个牙冠最好,后者的计划可能更宏伟。第一期手术下切牙切口就偏向舌侧,目的是什么?
Xin Wei, DDS, PhD, MS 1st edition 06/23/2013, last revision 06/23/2013