牙周病病人骨头松吗?
各位大师,种植,矫正一点没经验,只能看,听了。只是觉得沪上名医兼红学家健安兄见解有些独特,很想看到LH法的实际治疗效果图片,有东京齿大的也行。另那个病例也极富挑战性,有个问题请教,牙周病严重的病人是不是植入种植体后骨也不易长入,长结实。Hangqing Jin
Dr. Jin:
让我尝试回答您最后一个问题:牙周病病人植牙是否长得结实。我们一直认为牙周病病人牙齿容易松动,肯定骨质不好,植牙一定容易出现问题,也松动,从我的经验来说,事实正好相反。我们曾经与口外沾过边,包括小沐,健安,拔牙不少,但是断根也多。您遇过把松动牙的牙根尖搞断,或者似乎非常松动牙齿拔得满头大汗。这说明牙周病病人骨质反而硬,不成熟理论:这些病人口腔卫生的确不好,造成局部炎症,骨质吸收,另一方面,他们咬合力特别大(bruxism),没有失去牙齿前骨质很坚硬,一旦炎症造成骨质吸收,过大咀嚼力造成咬合创伤,骨质吸收加重,但是根尖周围骨质还可能紧紧包住根尖,事先没有好好摇松松动牙,就开始luxate牙齿,根尖就容易断裂。
![]() |
![]() |
![]() |
![]() |
![]() |
![]() |
明白这个事实,对植牙有帮助。给第一个牙周病病人植牙时,认为没问题,容易象吃豆腐,结果我吃亏了。以后利用牙周病病人剩余骨质好的事实,即使骨头不多,我也敢于把种植体植入,有点象毛主席说:越是艰险越向前,不过胆大心细还是需要。一两天后举例说明这个问题。总之健安病例完全可以做植牙。但愿不浪费您的时间。
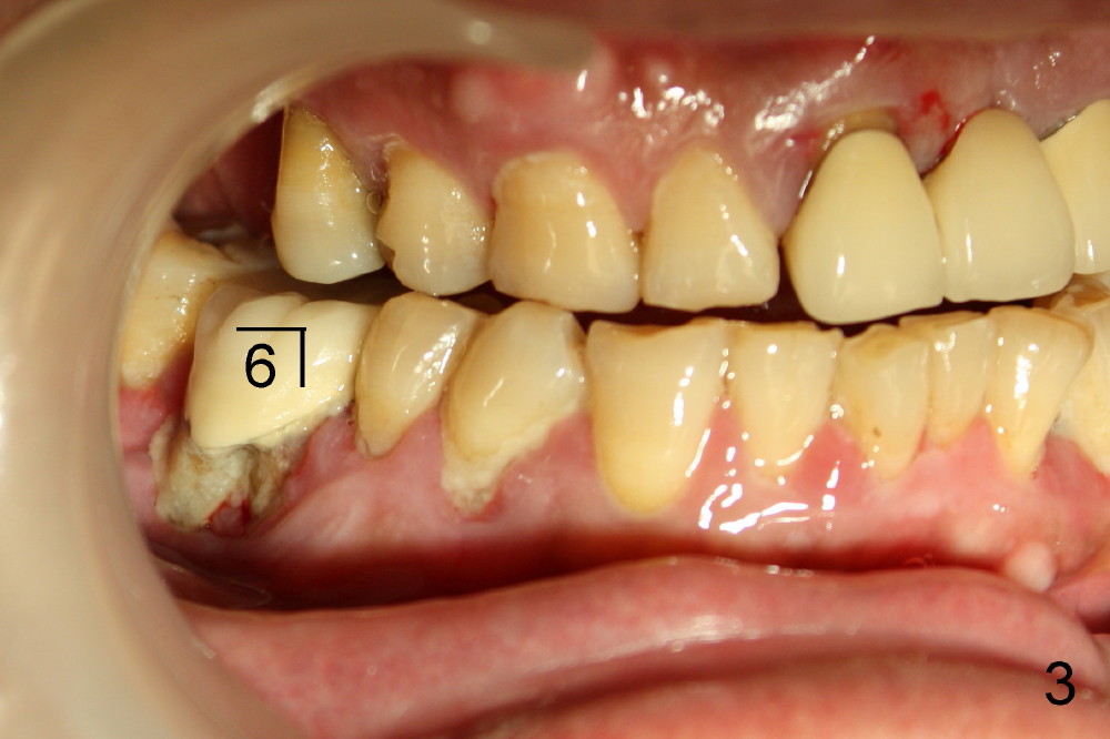
健安兄此病人可能夸张些,他是律师,大忙人,访问几家诊所就有可能说走遍上海市。小沐说美国植牙专家在上海开业,如果在那里就诊,病人又天不怕,地不怕,治疗可能很快开始。
四十六岁洪先生就是上面所提第一个有牙周病做植牙病人(图一(CT三维图像)左侧),二,三),右下六还有牙髓病(图二),当时胆子不大,乘深洗时,把那牙拔除,几个月重整旗鼓(图四,植牙前),以为小菜一碗,常规骨膨胀,并且钻头钻洞,然后使用据厂家说最好植牙driver把植牙旋入植牙窝,可能术者笨手笨脚,或者病人骨头太硬,driver(图五(D))断在植牙(I)当中,气急败坏地用拔牙钳把植牙取出来,这是徒劳的,而且把植牙表面搞坏(图六),最终用highspeed handpiece把driver磨出来,还好没有损伤植牙当中螺纹,之后还能装上基牙,取模做牙冠,不过病人始终没有回来戴牙冠,可能对我失去信心,或者他生意破产。
当我处理第二个牙周病病人植牙时,就主动多了,充分利用骨头硬因素,仿佛骨头再薄的地方,尤其是上颌骨,也敢插入植牙。
Xin Wei, DDS, PhD, MS 1st edition 06/06/2013, last revision 06/07/2013