病例讨论

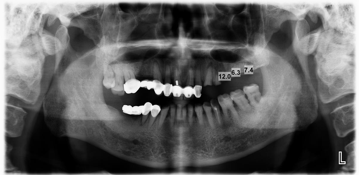
我有一个病人,80岁,糖尿病十年,目前用胰岛素控制,拟做种植,附图,听听同学的意见,请提供最详细的治疗方案,谢谢,咬合很紧,左侧缺牙间隙仅3毫米。汪贻静 Monday, July 8, 2013 4:13 AM

如果病人其他情况都好,左上三,四即刻植牙,下一次左上五,六植牙,建立第一磨牙咬合。以后必要时,除去右下桥,六号牙植牙。她骨头高度充足,可以做很多东西:植牙困难不大,但愿颊舌侧宽度好。

牙科学术讨论园地

Xin Wei, DDS, PhD, MS 1st edition 07/08/2013, last revision 07/20/2013