![]() |
![]() |
![]() |
![]() |
![]() |
![]() |
![]() |
|
![]() |
![]() |
![]() |
![]() |
为老百姓改善外表
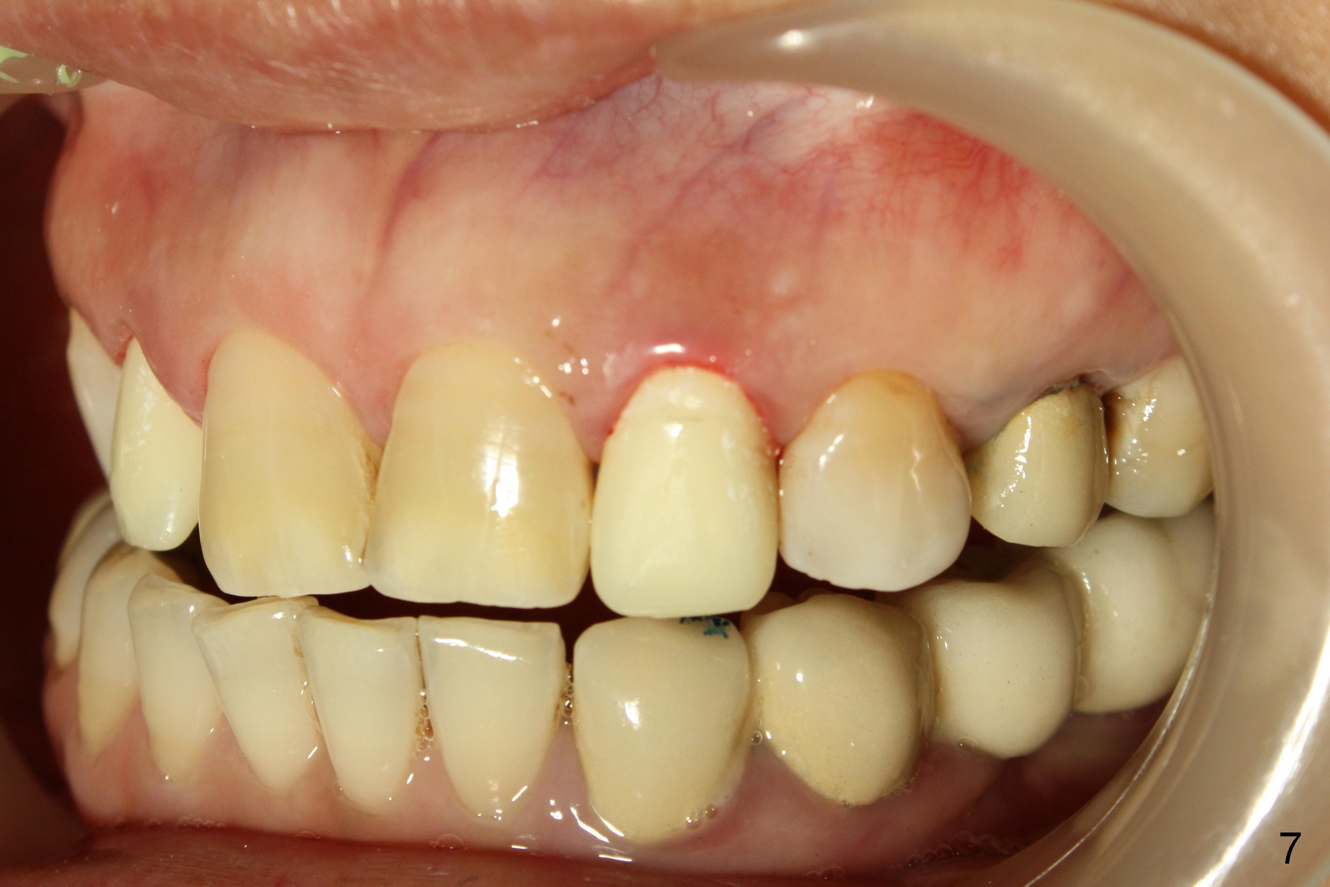
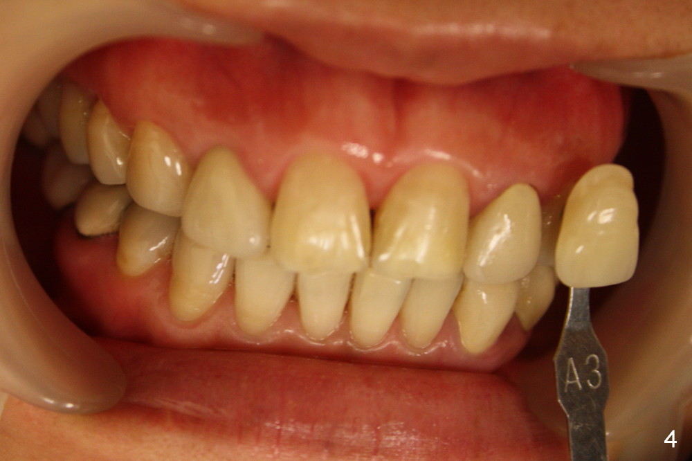
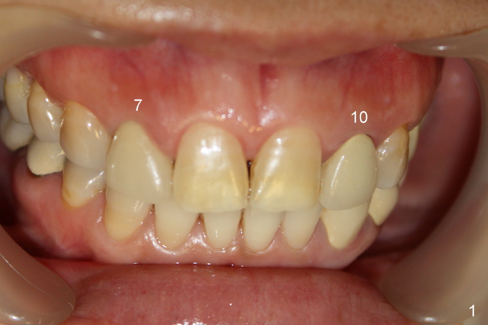
七八年前给陈太太装上七号牙陶瓷牙(PFM),她很快表示不满意(图一,二),我们再三表达歉意,可以重做。终于她愿意同时重做十号牙PFM牙冠(图三)。为了给她好的第一印象,重做前就开始选择牙冠颜色(shade, 图四),让临时牙冠颜色尽量接近正常 。我们有现成临时牙冠外壳(只有一种颜色),而acrylic powder(粉)有六种颜色(Bosworth)。
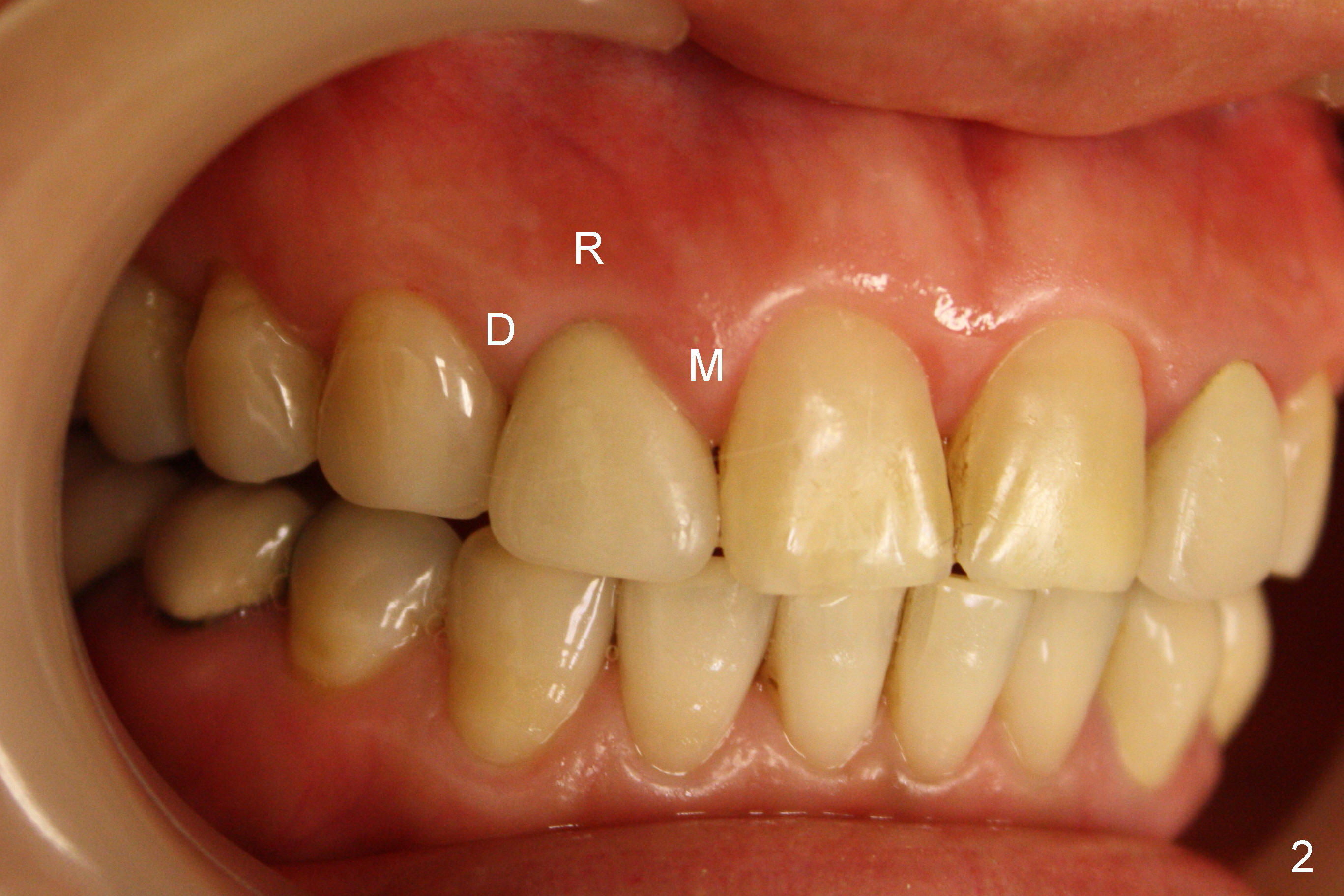
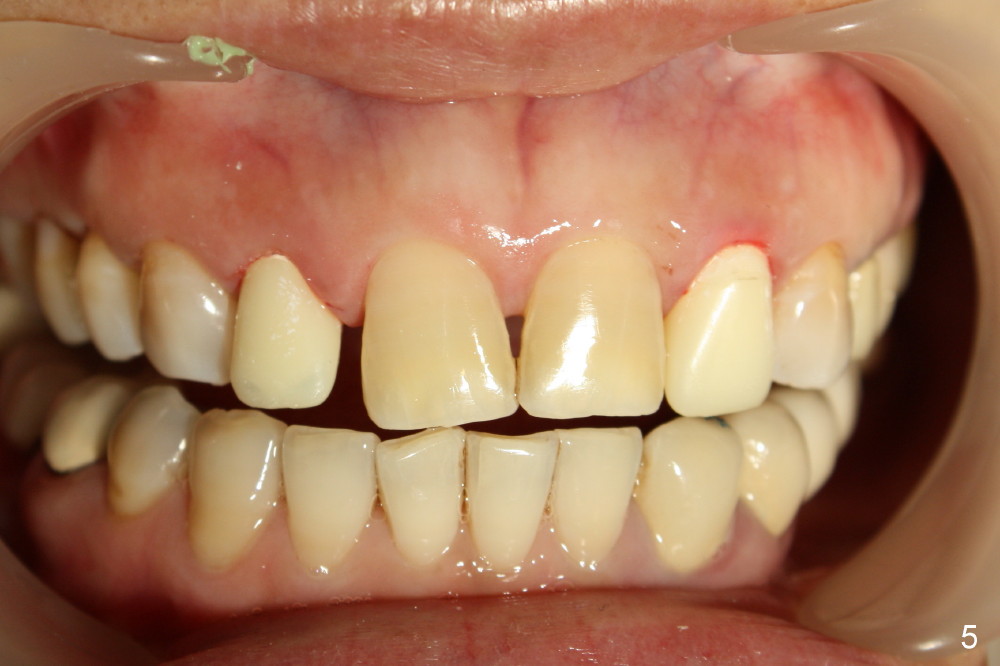
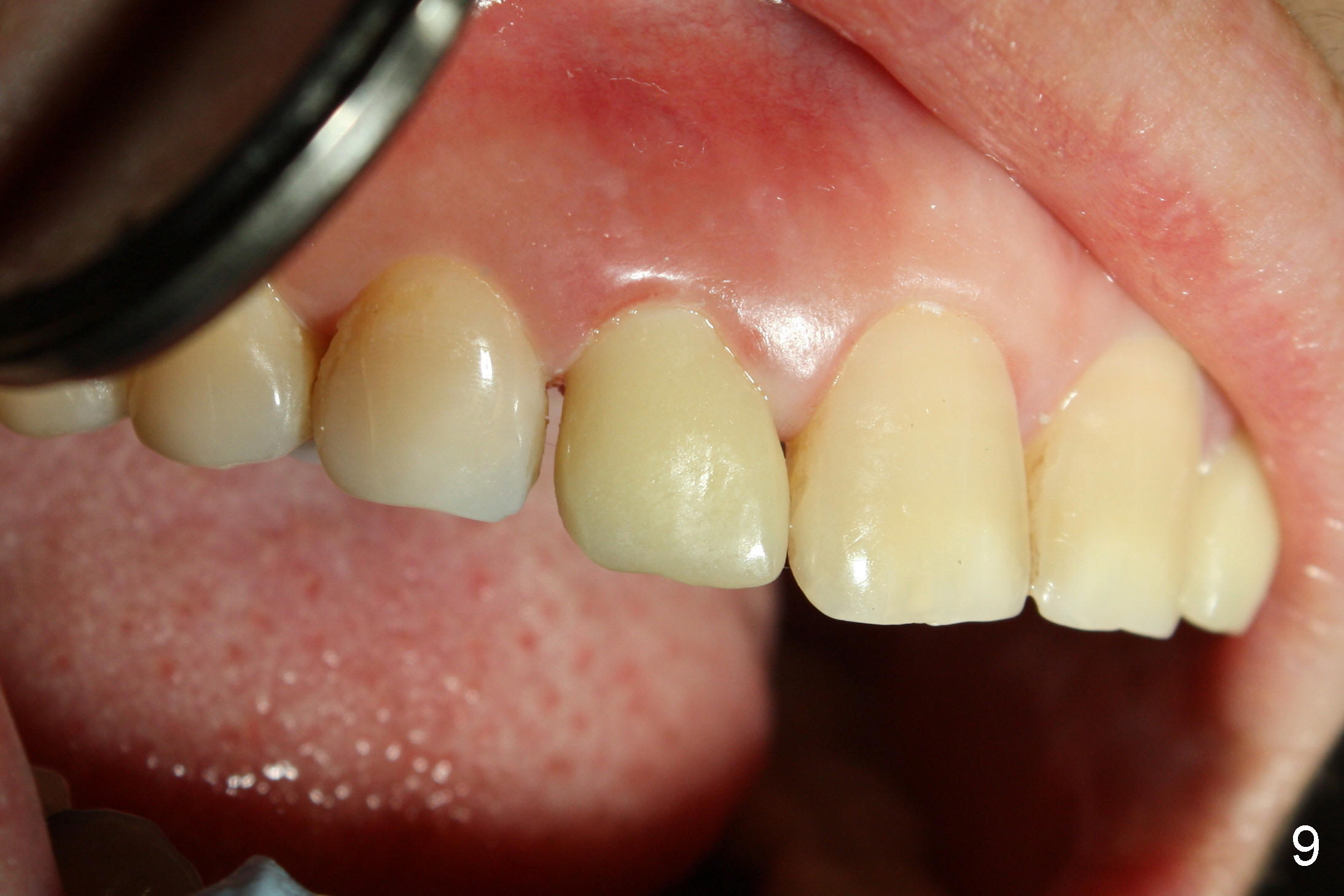
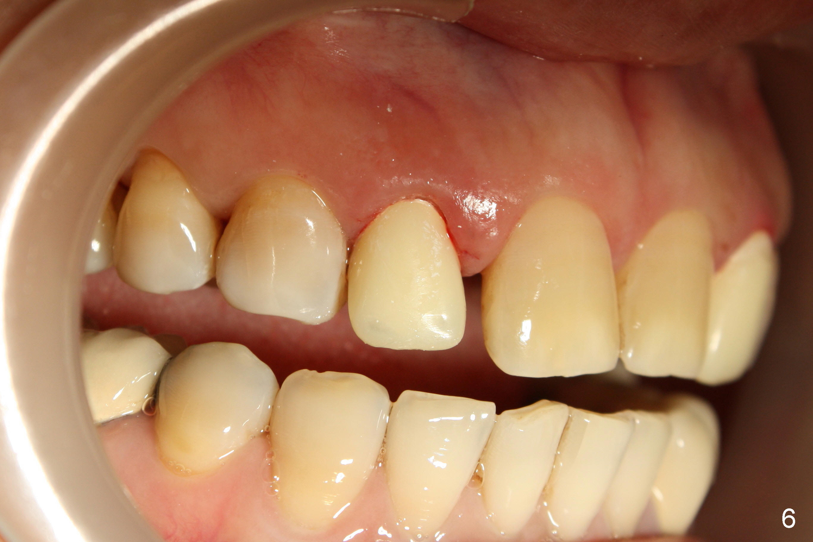
不过事与愿违,临时牙冠颜色不佳(图五,六,七)。制作临时牙冠让我们意识到七号牙原来牙冠问题:由于近中乳头(图二:M)比远中(D)大,牙根(R)偏向远中,苗条牙冠(临时)势必靠近远中(图六)。当时病人没有什么意见,当最终牙冠试戴时(图八),病人要求空隙放在远中,我们就那样做(图九,Emax)。
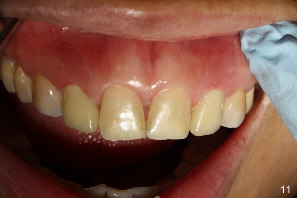
而十号牙临时牙冠(图七),最终牙冠(图十)都很顺利,最后病人满意离去(图十一)。
如果时间和花费不是问题,我们可能会先做局部牙齿矫正,把上颌中线往右边移动,然后重做牙冠,美容牙科才名副其实。
Xin Wei, DDS, PhD, MS 1st edition 07/15/2013, last revision 07/15/2013