![]() |
![]() |
![]() |
![]() |
诊断
一个月前,一个星期四,我们不准备看病人,但是还单枪匹马到诊所收拾,突然接到吴先生电话,左下牙痛很厉害,怕度不了周末(怕我们周末不开门),要求急诊。他说如果牙齿的确保留不了,就早点拔掉,做植牙。
一两年前吴先生右下第一磨牙植牙偏舌侧(图一颊侧观,*:颊侧牙槽骨凹陷;图二镜影观,*:舌侧暴露植牙(光滑部分),但是他非常满意,他的论点是我们应该趁年轻,换所有该换的器官(包括牙齿)!
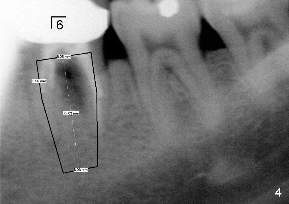
接电话同时研究他现有的X光片(图四,图形不清楚),那是五年前拍摄的,显示左下第一磨牙根分叉阴影,根管治疗不全,那颗牙齿确死无疑,同意他来诊所拔牙,即刻植牙(图四方块:植牙设计)。临时召集两位助手上班。
两个小时后,病人驾到,他老婆也来,他对拔牙视死如归,但是听到需要即刻植牙,却犹豫不决,“今年没多存钱”,但是听我们解释即刻植牙好处和老婆鼓励,他同意了。
检查证实左下六颊侧骨板没有萎缩(图三,与图一对比),是立刻植牙适应症。不过根分叉牙龈没有红肿,探诊没有触痛,问病人疼痛性质,“刺痛”,再次仔细检查左下象限(图三),发现一个问题。那是什么呢?
Xin Wei, DDS, PhD, MS 1st edition 04/04/2013, last revision 04/07/2013