![]() |
![]() |
![]() |
|
![]() |
![]() |
![]() |
![]() |
![]() |
![]() |
![]() |
![]() |
Too Tough 2 Handle
陈先生和太太离开诊所前并没有约植牙手术,问前台为什么?他们家住的很远,希望我们一次完成两个植牙,当时可能稀里糊涂没有答应他们。几天后兴致勃勃地打电话给陈先生,他却说他已经预交植牙钱给一个诊所,在美国英文从来没有真正学会,但是说一句good luck并不困难。
没想到几天后陈先生打电话来为太太预约植牙手术,我们接着忙于CT利用研究植牙区骨头够不够,这样做全面吗?
其实我们做些植牙前矫正,至少局部矫正,把对合牙压上去(intrusion,使用mini-implants),拔除四个智齿,把下颌第二磨牙往后推(uprighting,利用微型或者普通植牙作为支抗)。既然他们那么保守,矫正不必提了。反正,车到山前必有路,了不起把对合牙磨低。
植牙不太容易,由于骨质缺损,植牙小些:4.5x17 mm,可能够用。几个月后病人回来,植牙愈合正常(图三,四,不过颊侧骨质凹陷,箭头),预约几周后修复。当她再回来做修复时,突然主述左上第一磨牙疼痛,需要做根管治疗,牙冠,老公满口同意,这时我们可以吃豆腐了(左上做牙冠,解决那里牙齿过分萌出问题(supraeruption)),不知他们这时怎么那么感慨解囊。
那天我们只做下颌植牙修复,但是困难重重,基牙要磨去很多,对合牙不敢惹:右上处女牙不敢碰,而左上还有牙痛,更不敢动手动脚,所以下颌临时牙冠又小又矮(图五*,左下),看上去真伤心。虽然做两侧取模,但是告诉实验室只作右下陶瓷牙冠(Zirconia, i.e., Bruxir. It is reported that this crown will never break.),左下牙冠等左上根管治疗后一起做,好像挺上策,为自己小聪明沾沾自喜。
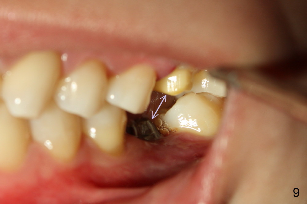
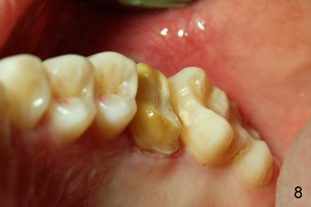
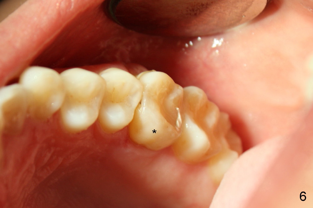
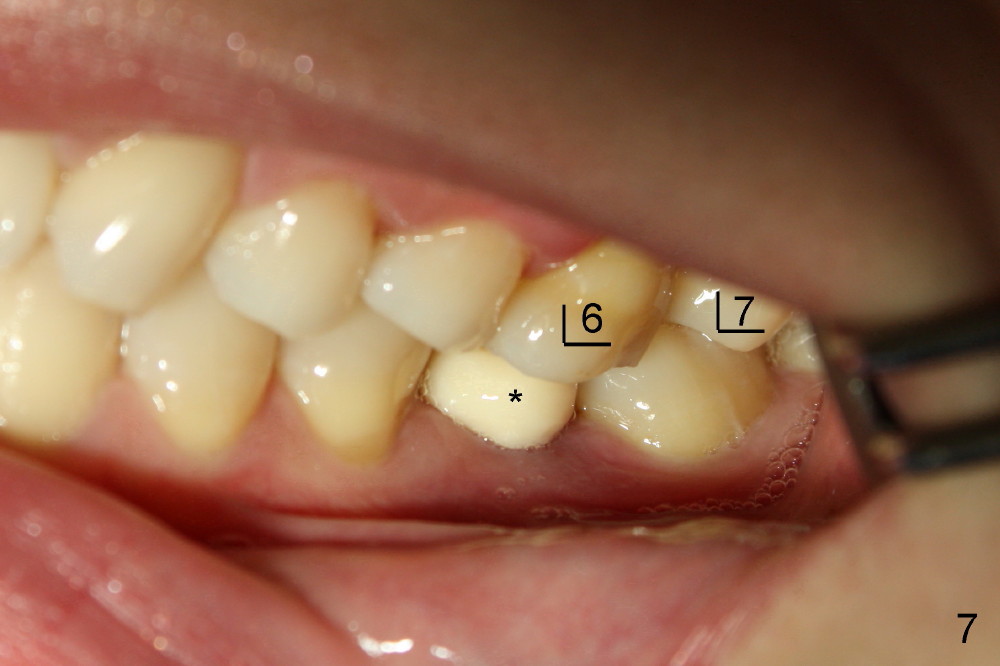
两周后,右下牙冠粘固,稍微调合,牙冠合面就穿孔了,向病人赔礼道歉,只好再预约重做,病人不满意的地方是牙冠与邻牙之间食物坎塞,重做牙冠还可能不能解决问题,只有矫正才能改变牙齿位置,倾斜度,而改正牙齿之间接触关系。不过先做左上,左下牙冠,制作也不容易,图六显示术前左上第一磨牙(*),好像supraeruption不厉害,但是咬合观显示左上第一磨牙的确往下移动不少(图七),星号(*)代表左下临时牙冠。没有任何其它选择,只好大刀阔斧磨左上第一磨牙(图八),这次大刀阔斧心情可不好,很辛苦。检查咬合,发现上下空间太大了(图九箭头),上次磨下颌基牙时太过分了。
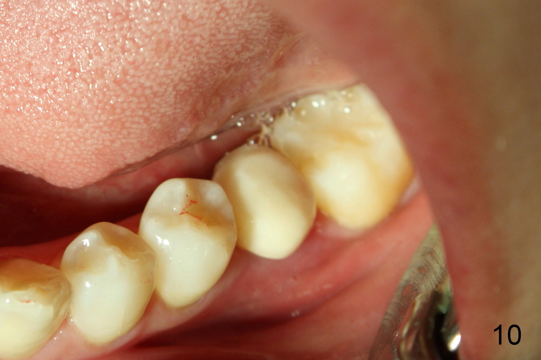
无论如何,只好往前走,下颌临时牙冠加高,之前第二前臼齿远中,第二磨牙近中也要磨去一些,这样第一磨牙也宽些,好看些(图十,与图五对比)。
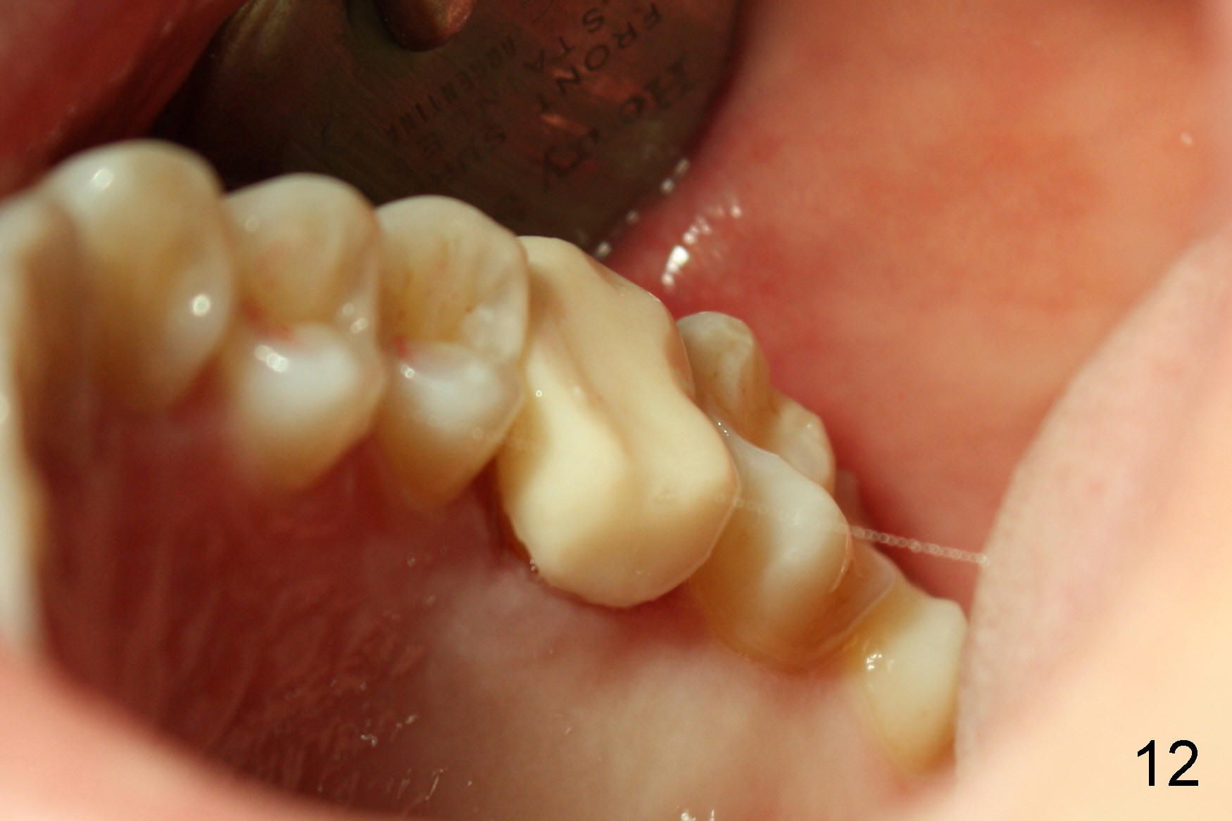
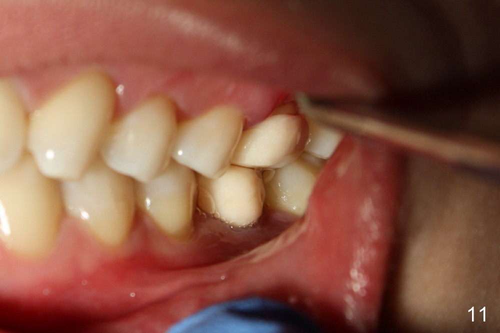
一旦下颌牙冠决定后,适当调整上牙牙冠制备,制做临时牙冠,咬合仿佛改善不少(图十一,与图七比较),上颌临时牙冠低多了(图十二,与图六相比)。在气急败坏下,突然领悟到一个真理:缺失一个磨牙,邻近咬合变化是巨大而且复杂的,例如下颌第二磨牙,不仅往近中倾斜移位,而且往舌侧倾倒(图一,二),发生三维变化,图十二还显示上颌前臼齿也不整齐,大概第二磨牙也有不同程度位置变化。
总之,植牙前没有考虑修复,最后会造成修复巨大麻烦。如果事先提出口矫,可能病人和家属还会同意。让我们吃惊的是现在有些保险还保成人口矫。
最后再考大家一个问题,本文章题目是什么?如果您没有注意,临床上也会象本人一样吃大亏,走弯路。
Xin Wei, DDS, PhD, MS 1st edition 05/11/2013, last revision 05/21/2013