![]() |
![]() |
![]() |
![]() |
该怎么办?
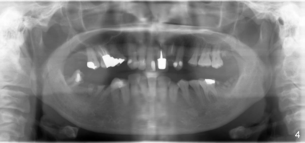
陈女士,五十来岁,牙齿问题多,左上侧切牙龋齿严重(图一,二*),终于牙冠断了(图三),很奇怪牙根不见了。虽然她缺牙不少(图四),她只要求做一个前牙(侧切牙)植牙。不过间隙太小(图三*),无法植牙,我们必须先做牙齿矫正。这可为难病人,因为她胆子特别小。
如果心细的话,你可能发现左上第一双尖牙缺失(图二,四),我们能否利用这个间隙,将尖牙往远中牵拉,为侧切牙创造空间,那里植牙就没问题了?不妨再次研究图三,四,你可能找到初步答案,或者你需要什么进一步资料?下次见。
Xin Wei, DDS, PhD, MS 1st edition 05/13/2013, last revision 05/20/2013