![]() |
![]() |
![]() |
![]() |
![]() |
![]() |
![]() |
![]() |
Comprehensive Treatment Plan for Missing Laterals
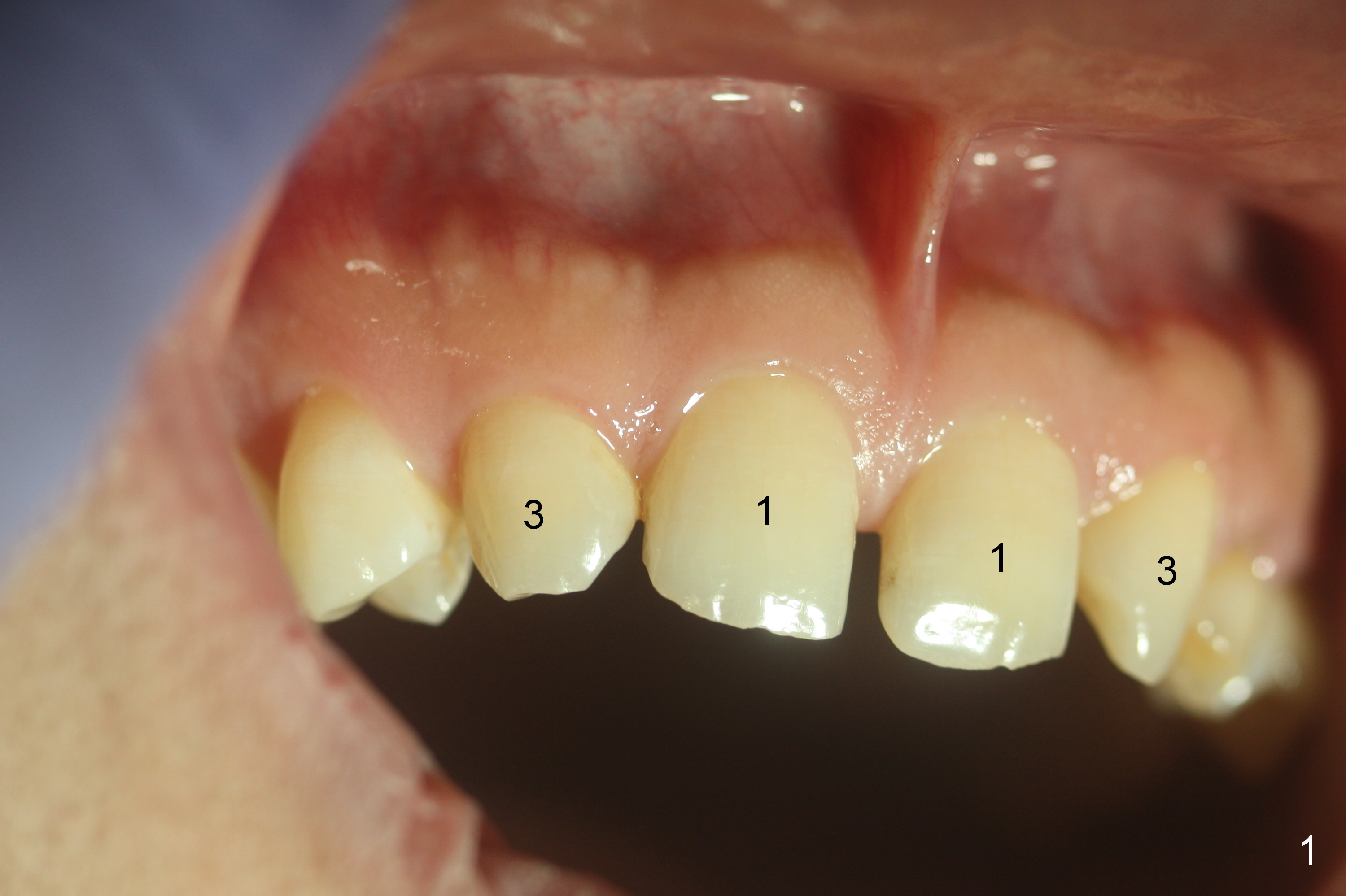
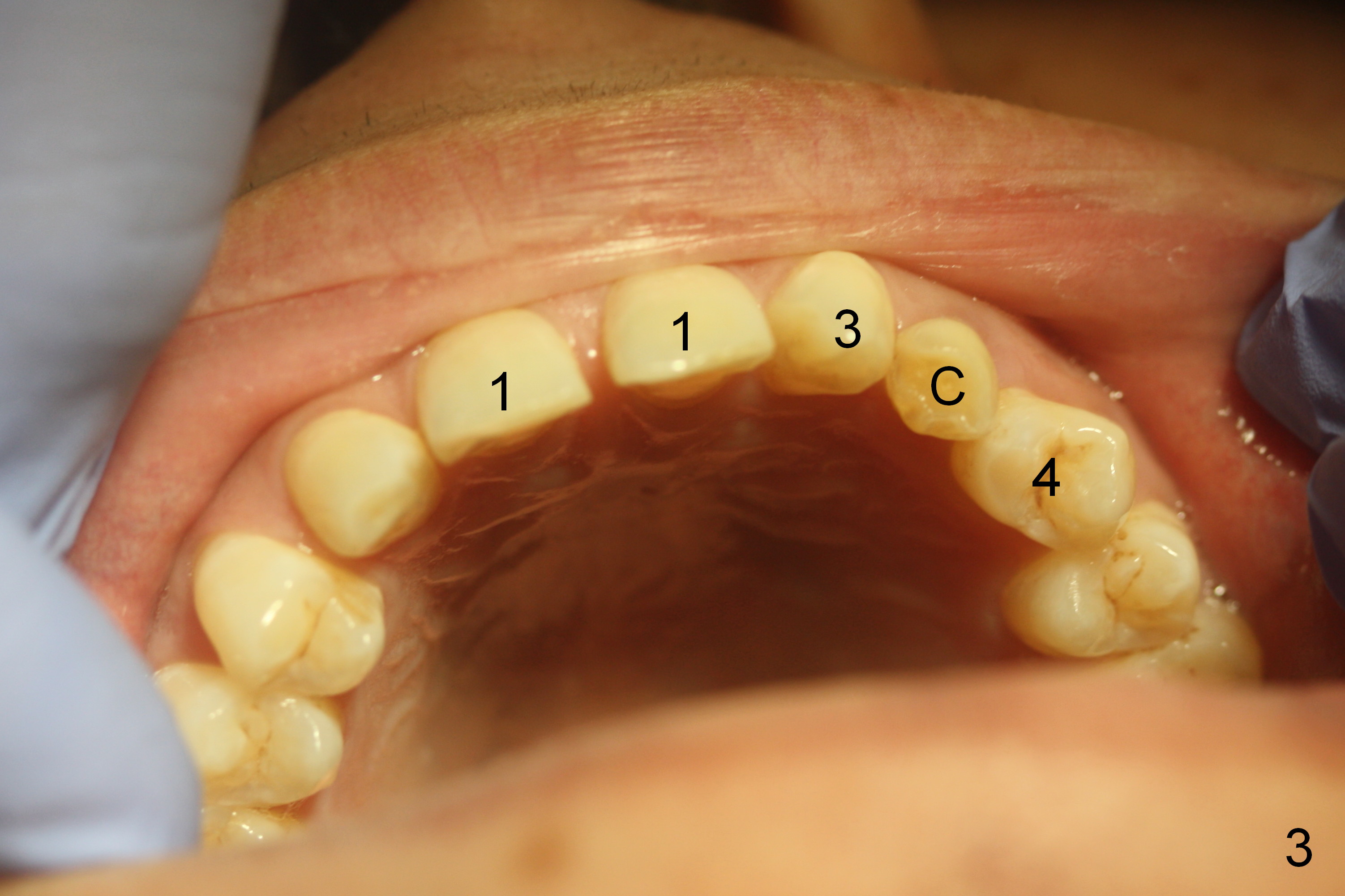
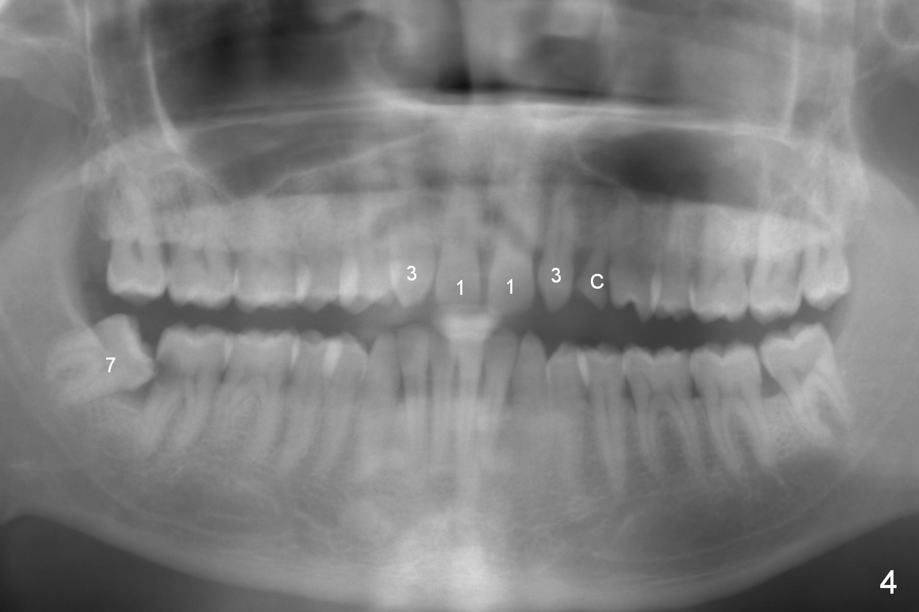
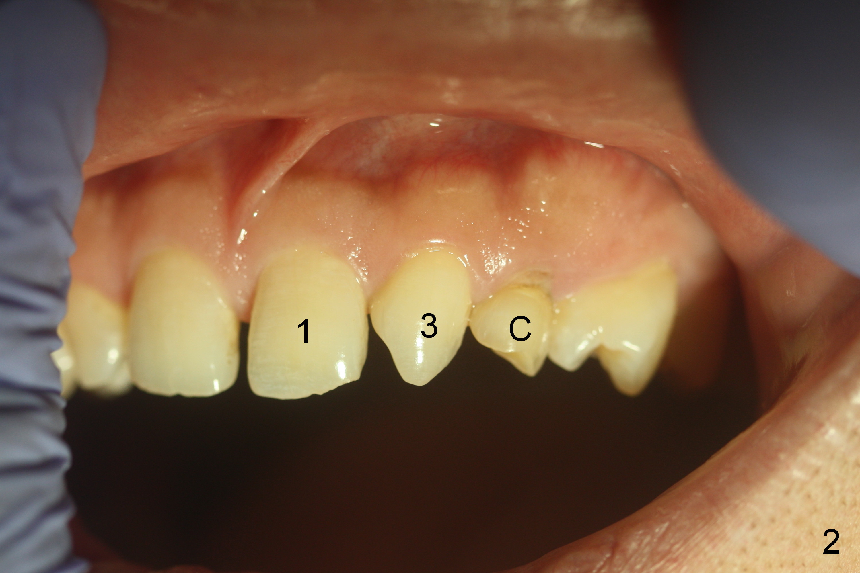
A 38-year-old man has congenitally missing laterals (Fig.1,2) with retention of a deciduous canine (Fig.2,3 C). UL 4 (upper left 1st bicuspid) rotates (Fig.3). LR7 has been extracted (Fig.4).
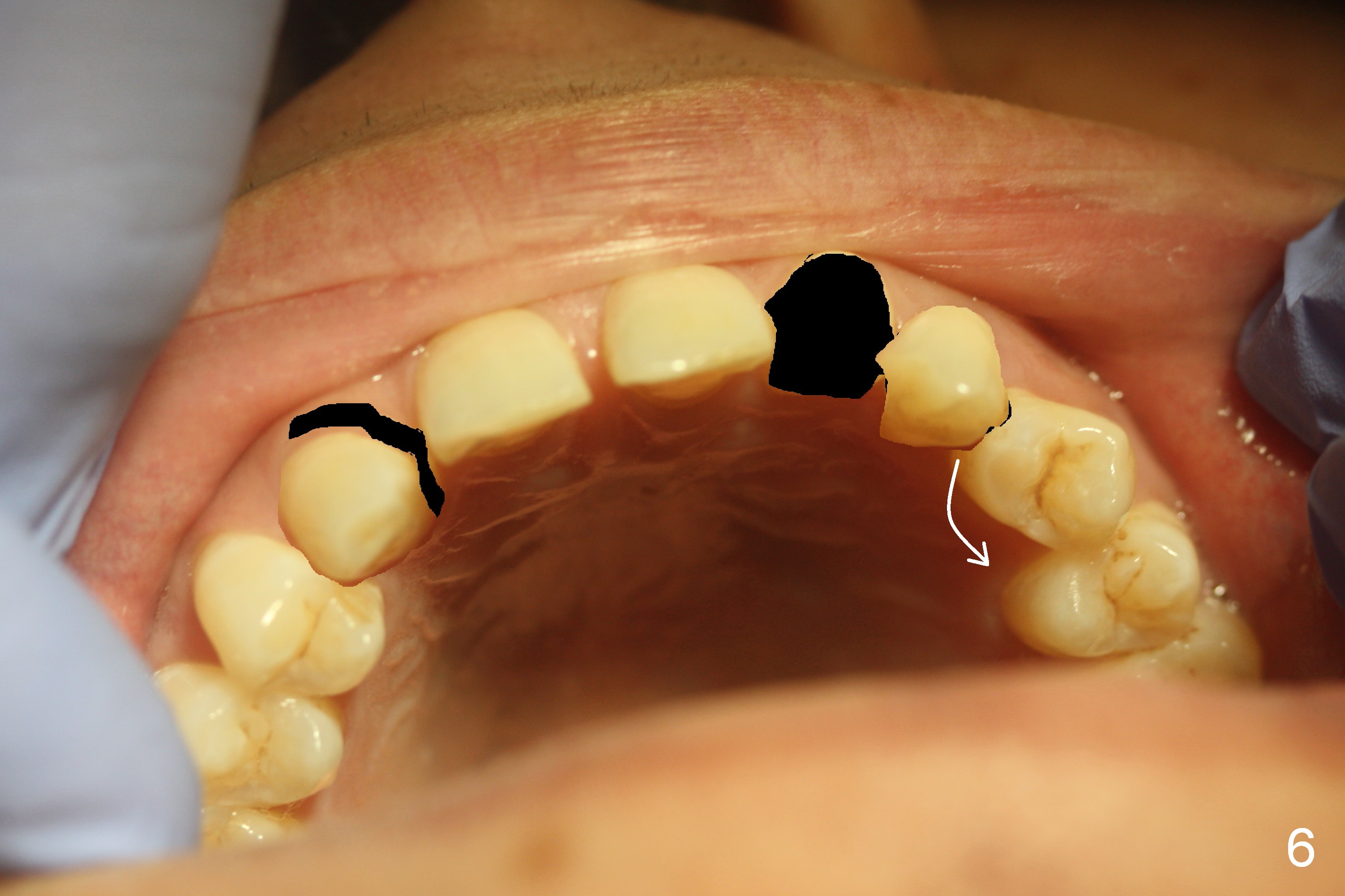
To improve cosmetics, extract the deciduous tooth (Fig.5), place brackets for the maxillary teeth (6-6), including a lingual button on UL4 to correct the rotation and distalize U3s (Fig.6), close the upper midline diastema and change the midline if needed (Fig.7) and finally place small-diameter implants at U2s (Fig.8 white circles).
Return to Professionals
Xin Wei, DDS, PhD, MS 1st edition 06/19/2016, last revision 06/23/2016