![]() |
![]() |
![]() |
![]() |
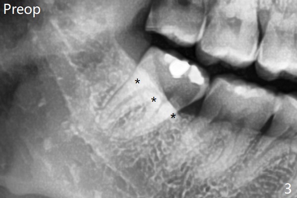
Since no buccal trough is made for extraction, the external oblique ridge (*) is present at #17 and 32 before and after surgery. Bond Apatite is placed with Collagen Plug (Fig.7).
Xin Wei, DDS, PhD, MS 1st edition 12/16/2020, last revision 12/19/2020