智齿应该马上拔除?

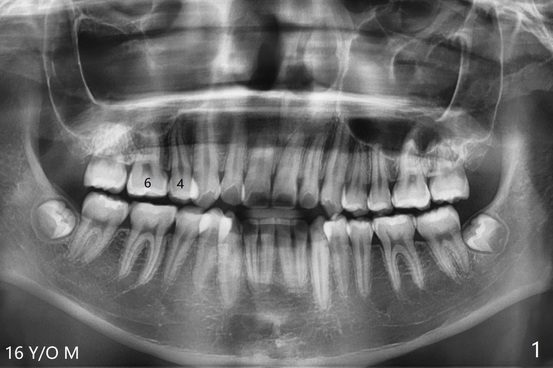
16岁男孩先天性缺失右上5,上牙中线偏右侧,下颌牙列拥挤,妈妈要求马上拔除智齿,减轻拥挤,可乎?

Return to Plug Oral Scanner 智齿拔除
Xin Wei, DDS, PhD, MS 1st edition 07/07/2021, last revision 07/17/2021