![]() |
![]() |
![]() |
![]() |
![]() |
![]() |
![]() |
Socket Preservation at Lower 3rd Molar
with Severe Bone Loss
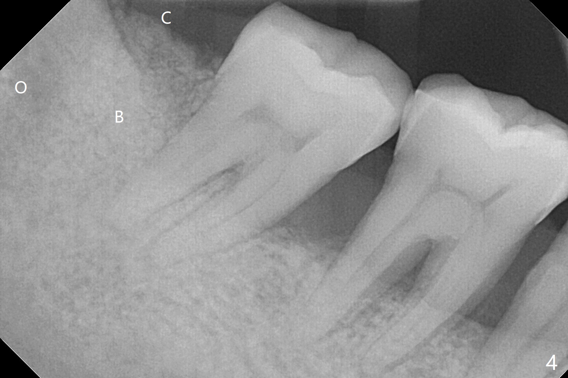
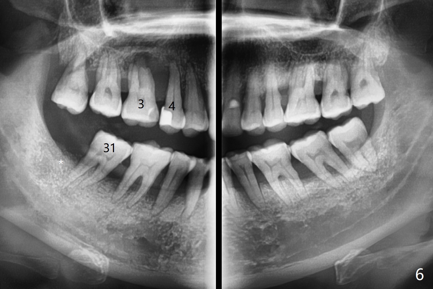
A 44-year-old woman (YHM) has generalized moderate localized severe chronic periodontitis (Fig.1). Periodontal abscess develops between the teeth #31 and 32. Since the pain and mobility is more severe at #32 than 31, the former is extracted (Fig.2). After thorough curettage and copious irrigation, Osteogen plug is placed in the distal portion of the socket (Fig.3, 4 O), while allograft in the mesial one (B), with collagen plug on the top (C) before suturing (Fig.5). The tooth #31 is stable and pain-free with formation of new bone distal 7 months postop (Fig.6,6' *), while bone loss at #3 and 4 is more severe.
Return to Trajectory, Plug Xin Wei, DDS, PhD, MS 1st edition 02/12/2019, last revision 12/22/2019