![]() |
![]() |
![]() |
![]() |
![]() |
![]() |
![]() |
![]() |
![]() |
Buccal Impaction (M)
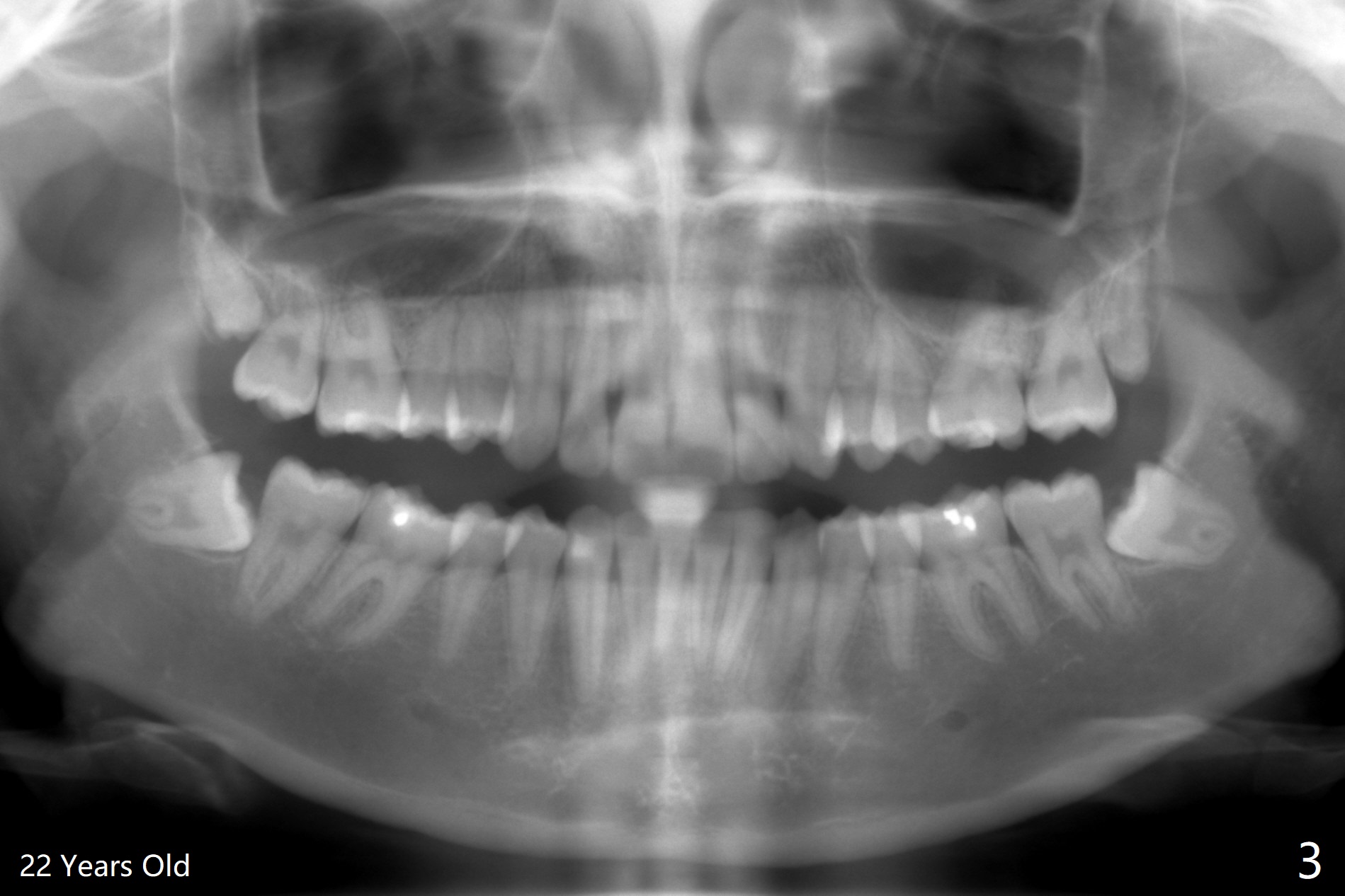
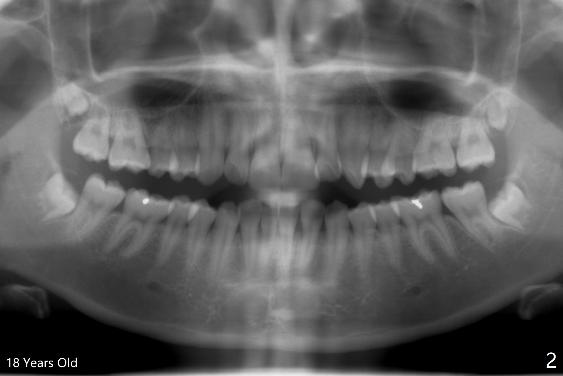
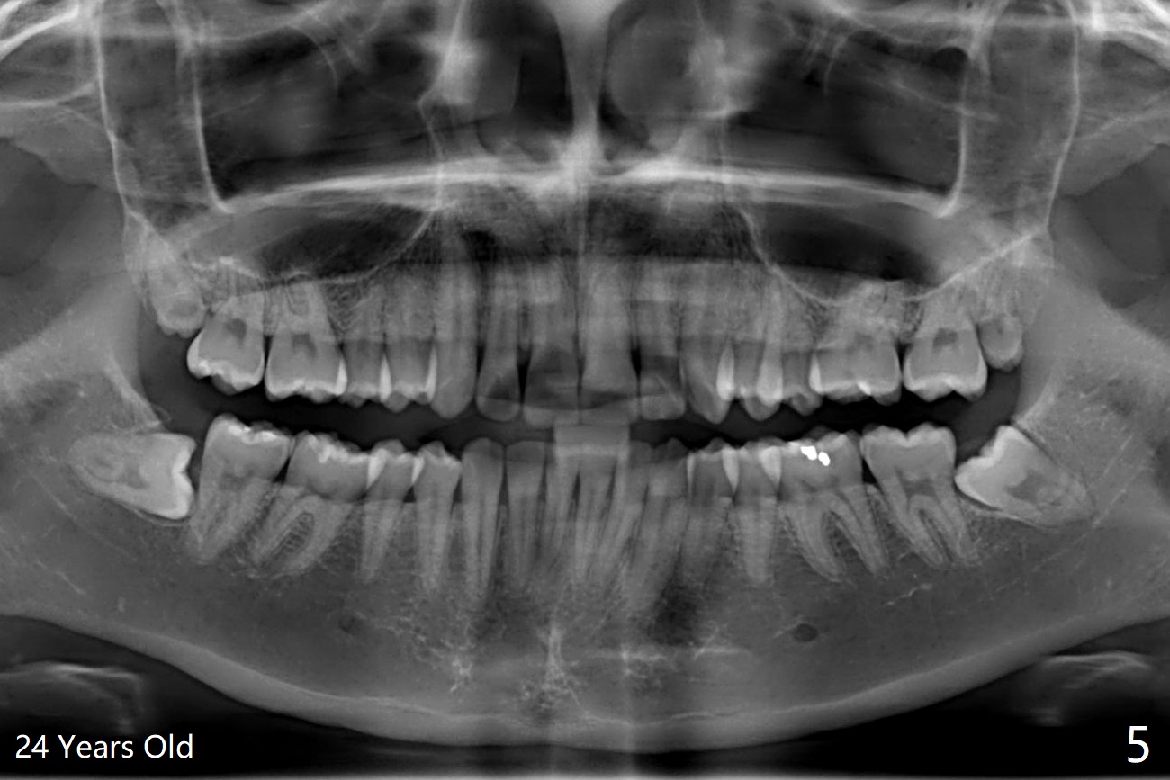
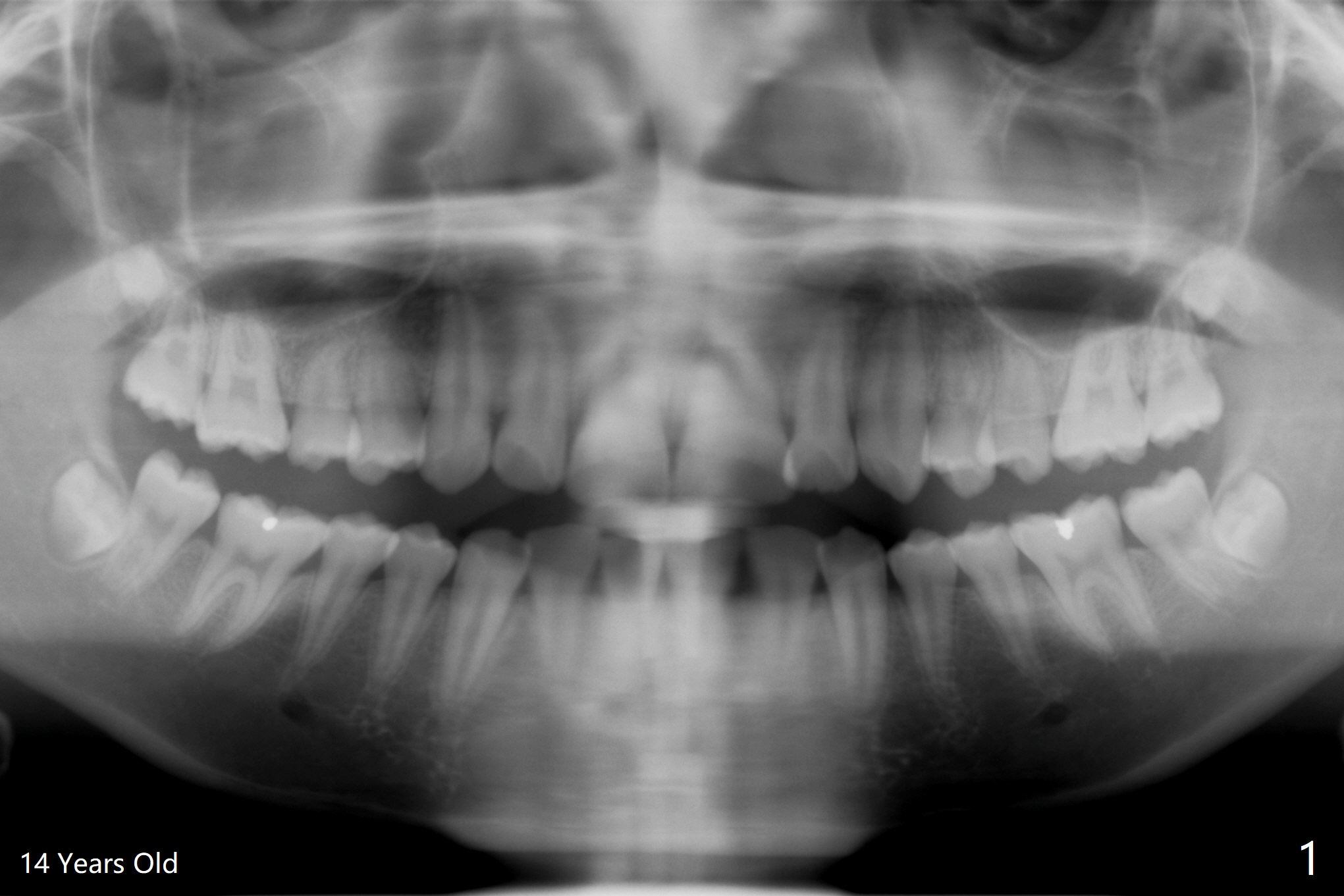
A 25-year-old woman, under our care for the last 11 years (Fig.1-6), returns for #1 and 32 extraction (1 year after #16 and 17 extraction (Osteogen plug)). Preop PA shows that a portion of the lower impacted tooth may be located buccal to the tooth #31 (Fig.4 black dashed line). An accessory incision is moved from distobuccal to midbuccal (Fig.7 arrowheads) to reduce postop loss of bone graft (Fig.8 B) from the incision. In fact the incision should be further moved to mesiobuccal (Fig.9 red line) if buccal impaction is suspected (curved black line). The buccal impaction of #32 of her father is more severe.
Return to
Plug
Xin Wei, DDS, PhD, MS 1st edition
12/10/2019, last revision
07/17/2021