![]() |
![]() |
![]() |
![]() |
![]() |
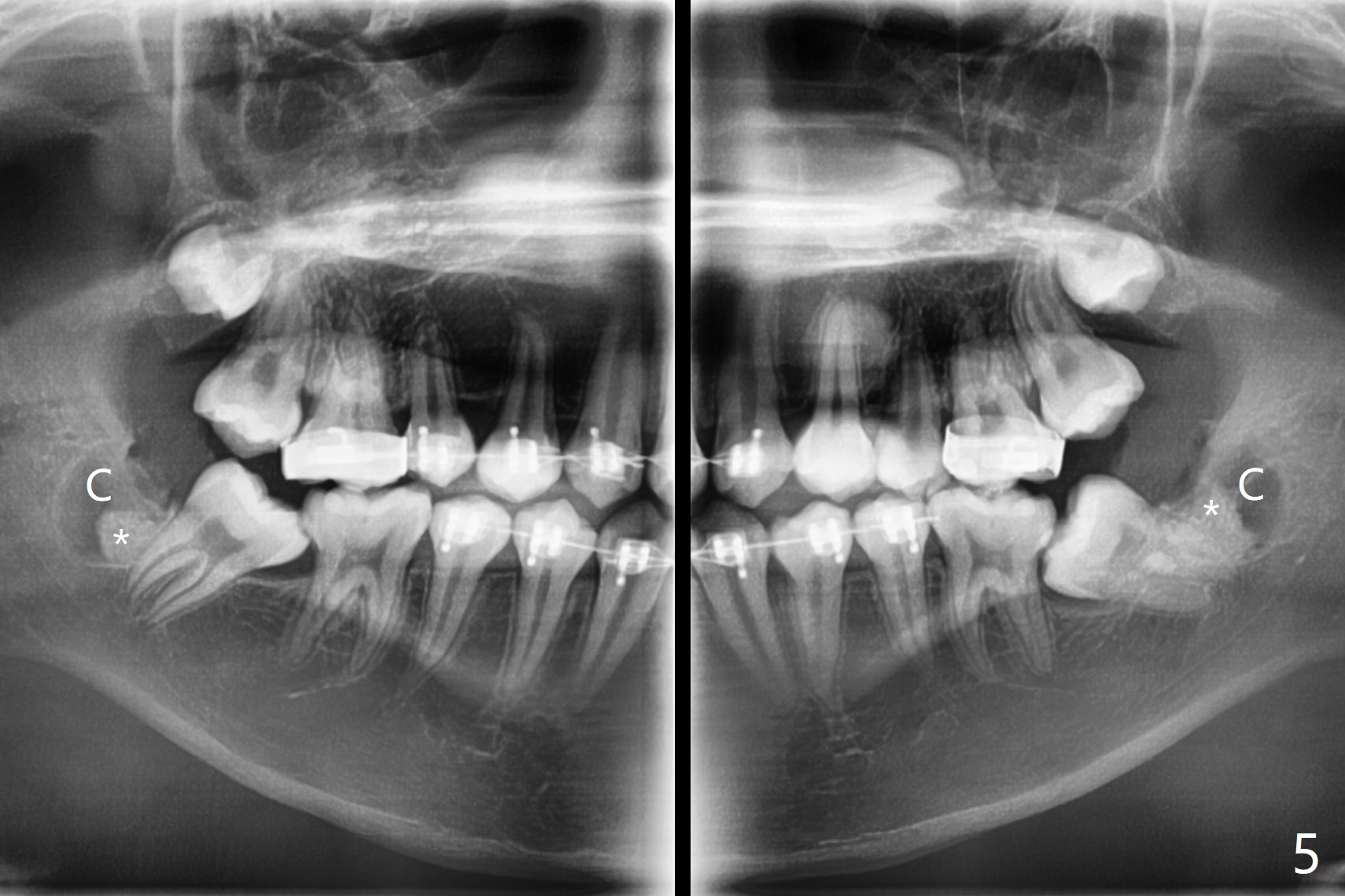
部分位点保留
13岁男在矫正医生诊所矫正三年(上中切牙牙根短,图一),转来拔除下颌智齿以助于第二磨牙upright。左侧先拔除,切除三个小块颊侧骨板,保留其中一个与异体骨一起植入牙槽窝近中部分。右侧拔除时,索性切除一个大块颊侧骨板(图二),智齿拔除后,近中牙槽窝放置异体骨(皮质,图三,五:*),远中胶原塞(C),放回颊侧骨板(图四)。Return to Plug Xin Wei, DDS, PhD, MS 1st edition 11/03/2020, last revision 11/03/2020