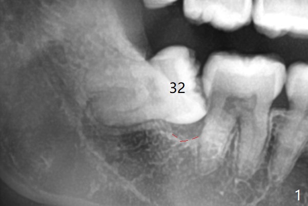
Therefore bone graft seems to be able to be packed mesially (Fig.5: G).  In fact the left Inferior Alveolar Canal is exposed after extraction, collagen plug (P) is placed distal without use of curette around the exposed canal.   Bone graft is highly necessary with patients age>25 with bony defects distobuccal to 2nd molars.

Canal Open     Last     Next

Xin Wei, DDS, PhD, MS 1st edition 03/19/2021, last revision 03/20/2021