![]() |
![]() |
![]() |
![]() |
Cocktail Graft
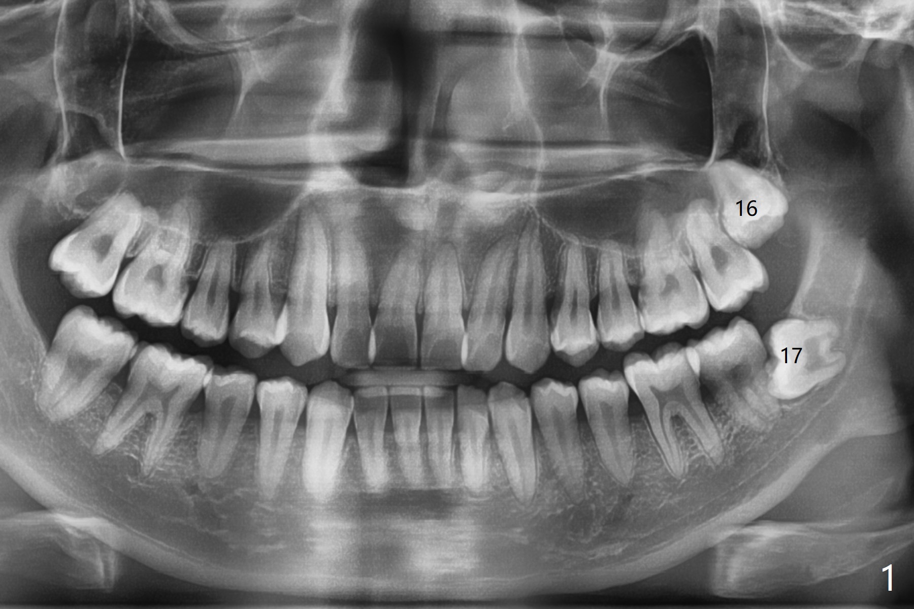
A 22-year-old man agrees with extraction of #16 and 17 with bone graft in the latter socket (Fig.1). Because of horizontal impaction, the mesial root tip (Fig.1' *) overlaps with the Inferior Alveolar Canal. 5x5 cm CT will be taken with special bite block to show the ramus as posterior as possible (internal and external oblique ridges). Since the crown of the 3rd molar seems to be buccal to the distal portion of the 2nd molar, the anterior oblique incision should be placed as mesial as possible (Fig.2 red line). After extraction, collagen plug (Fig.3 large white area) will be inserted into the root sockets, while sticky bone (circles) in the coronal socket. The latter will be covered by 2 pieces of PRF membrane, followed by compressed Osteogen Plug (small white area, tp be visible in the postop panoramic 2 bitewings).
Return to
Plug
Allograft
Xin Wei,
DDS, PhD, MS 1st edition 08/13/2021, last revision
08/14/2021