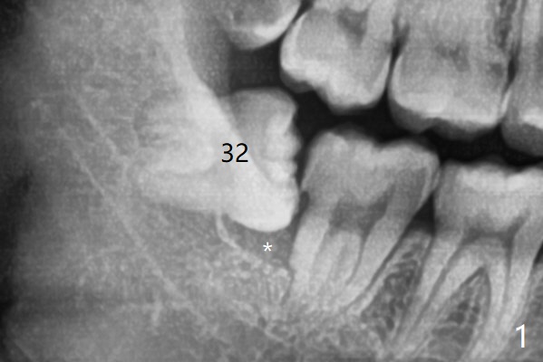
A 23-year-old man with poor oral hygiene presents to clinic with pain at #1 and 32.  Because of bone loss between #31 and 32 (Fig.1 *), Bond Apatite (1 cc, Fig.2 A) is placed in the defect area following insertion of Collagen Plug in the sockets (P, a half).  The other half of the Plug is placed coronal to Bond Apatite before suturing with 4-0 PGA.

Dental Sac     Last     Next

Xin Wei, DDS, PhD, MS 1st edition 06/08/2020, last revision 06/11/2020