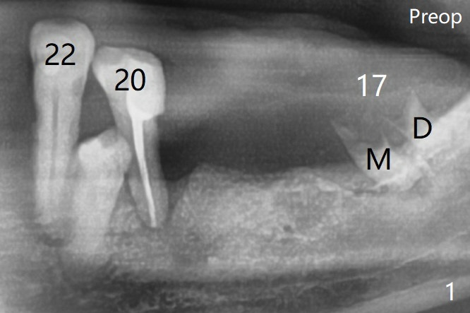
A 84-year-old man (uncontrolled diabetes) requests extraction of terminal teeth (#17, 20-22) for complete denture (Fig.1).  The sockets seem to remain radiopaque 2 months postop (Fig.13).

Bond Apatite     Last     Next

Xin Wei, DDS, PhD, MS 1st edition 05/04/2020, last revision 05/04/2020