![]() |
![]() |
![]() |
![]() |
![]() |
![]() |
![]() |
![]() |
![]() |
![]() |
![]() |
![]() |
![]() |
![]() |
![]() |
![]() |
![]() |
![]() |
3 D Bond vs. Osteogen Plug M
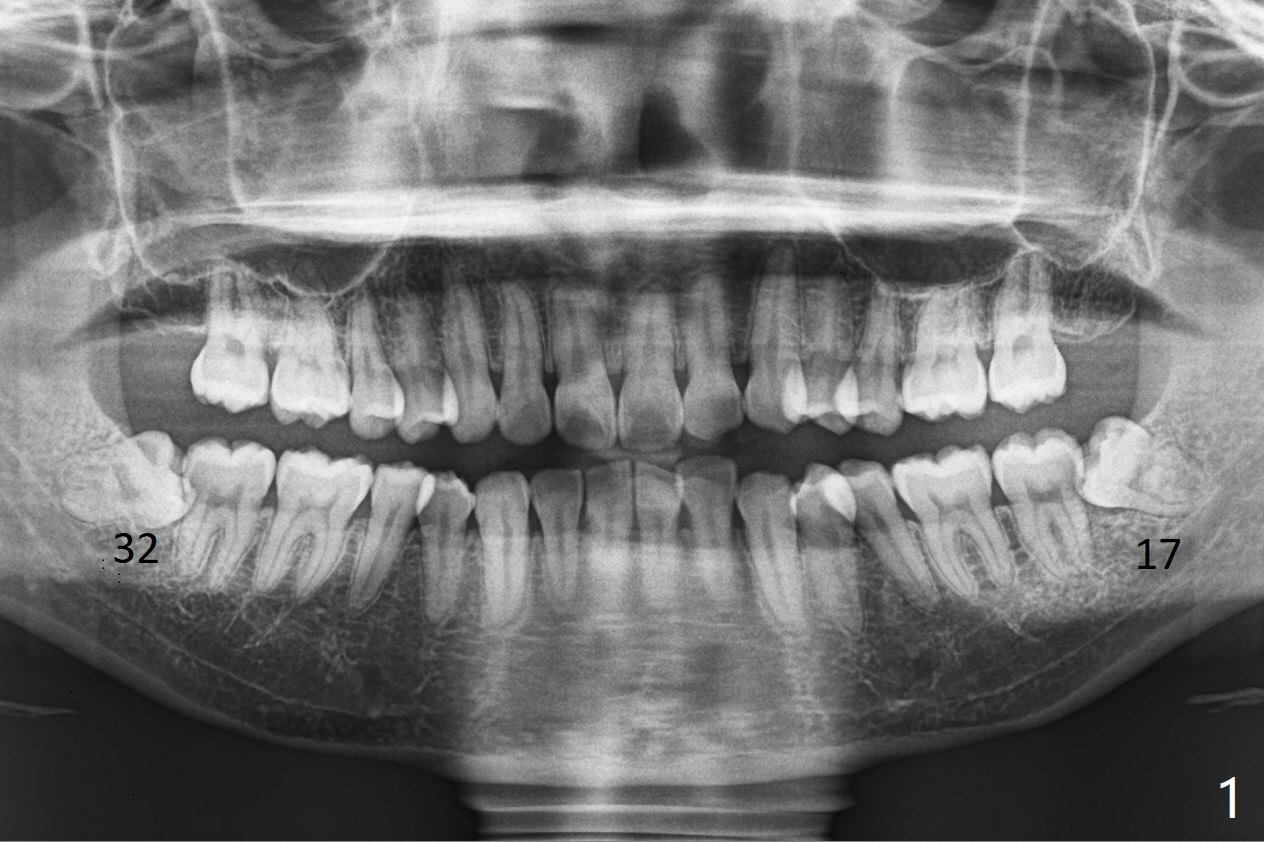
A 28-year-old woman returns for #17 and 32 extraction. To obtain full potential of bone regeneration after extraction, 3 D Bond (Graft Binder Cement, .5 cc, Fig.2 C) will be placed in the root portion of the socket of #32 , while allograft (G) and Collagen Plug (P) in the coronal one. For comparison, Osteogen Plug (Fig.3 O) will be inserted in the root portion of the socket of #17, while the other two materials same as those at #32. Take postop panoramic bitewing if both teeth are extracted. Otherwise take PA. Place the latter in the center of the extraction socket.
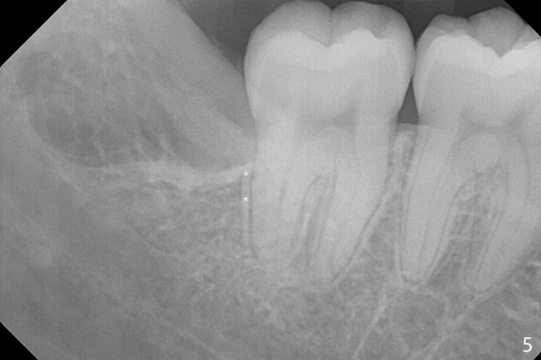
In fact the tooth #32 is extracted first; the defect involves the distobuccal aspect of the tooth #31 (Fig.4 *). An intraop PA is taken after extraction to confirm whether a broken surgical fissure bur tip retains or not; the distal lamina dura of #31 is low (Fig.5 *). It is expected to increase after cocktail bone graft (Fig.5' arrow). As planned, the bone cement (Fig.6 C) and allograft (G) are placed in the distal and mesial portions of the socket; between them is Osteogen Plug (O). Another piece of Osteogen Plug (as collagen membrane for bone graft) is placed on the top of the socket before suturing with 4-0 Plain Gut (Fig.7,7' O). Also note the bone graft being placed distobuccal (CT study) to #31 (Fig.7' red dashed line) to reduce possibility of future periodontitis. The patient returns 15 days postop with chief complaint of mild pain since extraction, although the wound looks normal. The transverse cortex connecting to the lamina dura (Fig.5 *) is obliterated when allograft is placed (Fig.7 G). The part of the graft remains in place 1 month postop (Fig.9) in spite of wound dehiscence (Fig.8). The bone graft loss is indicated by the fact of the reappearance of the transverse cortex (Fig.9). In the same appointment, the tooth #17 (Fig.10) is being extracted (Fig.11), leaving a defect mesiobuccal (Fig.12 *) to distal (curette). Part of Osteogen plug (Fig.13 O) is stretched to cover the mesially placed allograft (Fig.14 G). One quarter of Collagen plug is placed over the Osteogen plug (Fig.13 O) before 4-0 PGA suturing. There is bone regeneration 1 year postop (Fig.15,16).
Return to
Plug
Augma
yc0717bkFw4
Xin Wei, DDS, PhD, MS 1st edition
09/11/2019, last revision
10/03/2020