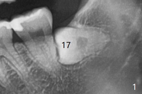
A 27-year-old woman (nervous) is going to return for #16 and 17 extraction (Fig.1).

Grafts for 3rd Molars 智齿拔除 Last  Next

Xin Wei, DDS, PhD, MS 1st edition 12/27/2019, last revision 07/25/2021