![]() |
![]() |
|
![]() |
![]() |
|
Midbuccal Incision for Horizontal Impaction
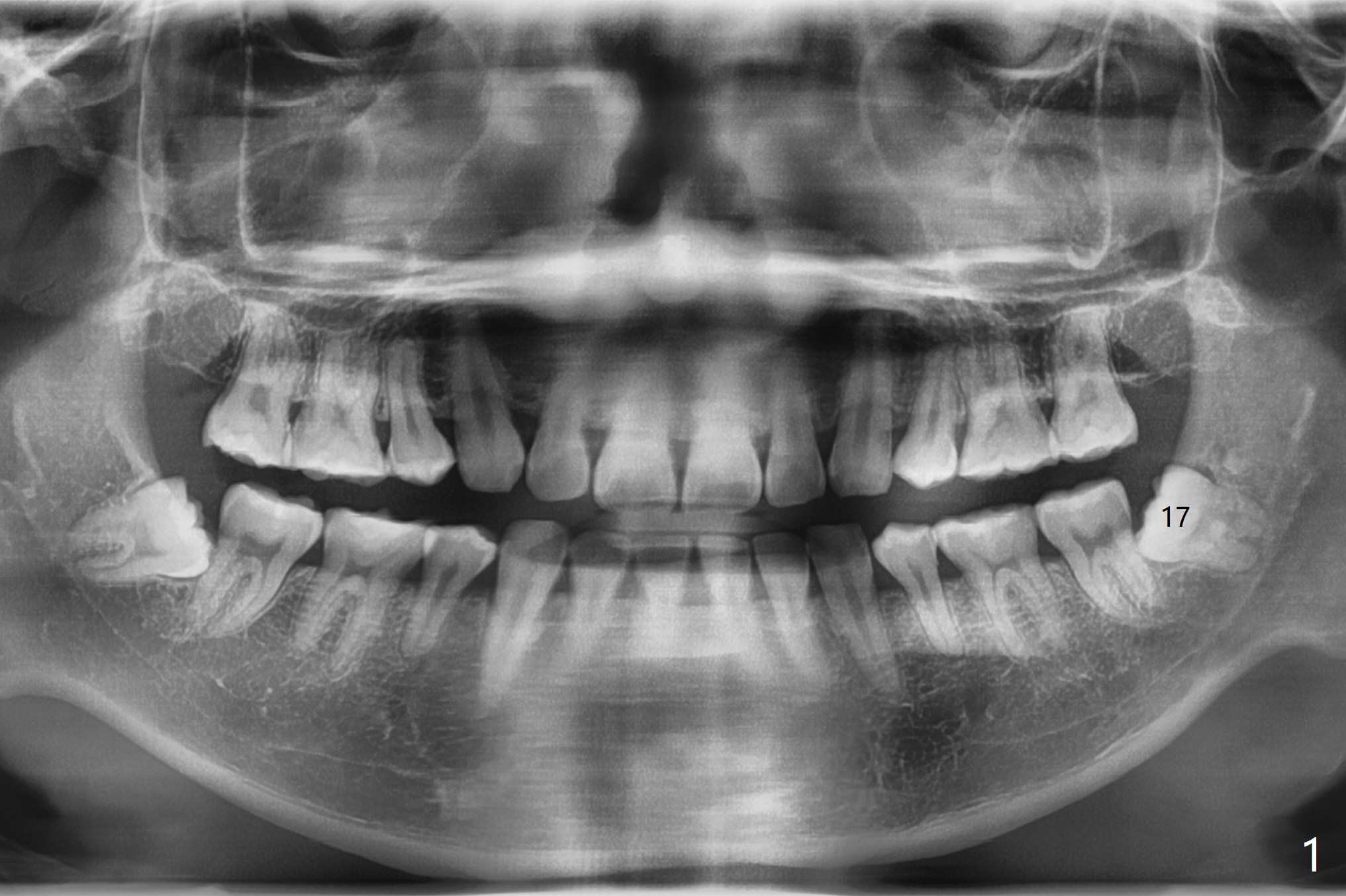
A 27-year-old man requests extraction of the tooth #17. Immediately following 4Q SRP (Fig.1), a midbuccal incision is made (Fig.2 green line) to reduce the chance of graft exposure in case of wound dehiscence because of nearly horizontal impaction of #17. The crown of the latter may be slight mesial to the distal surface of the tooth #18. In fact this is the case after flaps are raised. Since the socket is expected to be large, the graft will be placed immediately distal to the tooth #18 (Fig.2 *), while collagen plug (Fig.3,4 C) will be placed in the root portion of the socket (Fig.2 M, D (mesial and distal)) and in the gingival area (red dashed line to prevent graft material escape). Return to Plug Cement Xin Wei, DDS, PhD, MS 1st edition 06/22/2020, last revision 06/25/2020