![]() |
![]() |
|
![]() |
![]() |
![]() |
Reason for Mild Pericoronitis
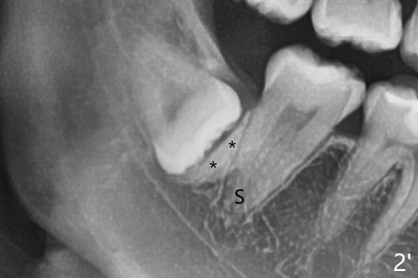
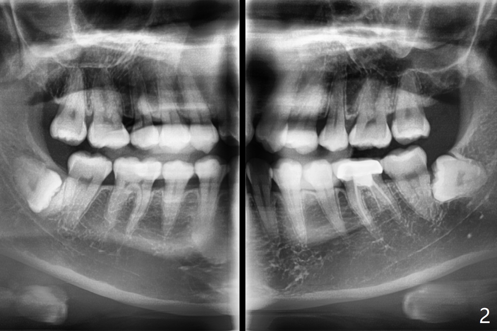
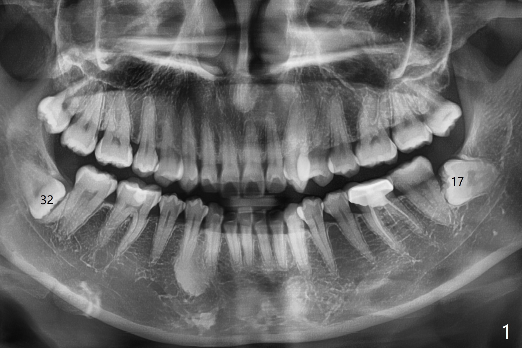
A 31-year-old woman returns with chief complaint of "occasional, mild pain in the lower left 3rd molar" 1 year post extraction of #1 and 16 (Fig.1,2). The lower 2nd molars appears to have a single fused root (Fig.2',2'' S); the radiopaque image mesial to the tooth #32 must be the dense bone (Fig.2' *). In contrast the cortex coronal to the tooth #17 is lacking (Fig.2'' v), as compared to that in Fig.2'. It seems that the bone loss at #17 is associated with mild pericoronitis. The tooth #17 should be extracted with placement of Bond Apatite to repair #18 distal defect. In fact sticky bone and collagen plug are placed instead (Fig.3), covered by 2 pieces of PRF.
Return to Plug Cement Xin Wei, DDS, PhD, MS 1st edition 06/20/2020, last revision 05/28/2021