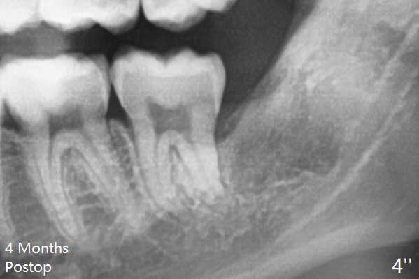
The cortical and cancellous bone seems to have formed in the #17 sockets in 4 months (Fig.4").

Bone Cement Last Next

Xin Wei, DDS, PhD, MS 1st edition 12/27/2019, last revision 03/10/2020