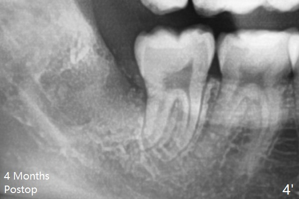
The bone density increases and becomes even at #32 sockets 4 months postop (Fig.4').

Bone Cement Last Next

Xin Wei, DDS, PhD, MS 1st edition 12/27/2019, last revision 03/10/2020