![]() |
![]() |
Diagnosis and Treatment of A Hidden Lesion
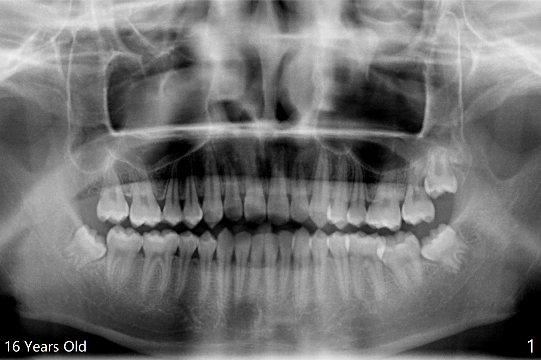
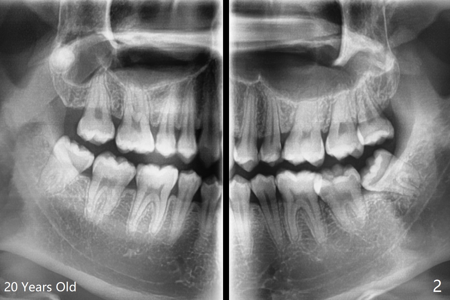
A 20-year-old man has been our patient irregularly since the age of 13. His mother reported that he did not brush well, probably related to gag reflex. Panoramus is taken at the ages of 16 and 20 (Fig.1,2). In fact a primitive cyst forms (Fig.1) before calcification of the impacted upper right 3rd molar (dentigerous cyst, Fig.2). After extraction and enucleation of the cyst, Augma will be injected into the cavitation, followed by Osteogen plug.
Return to
Plug
Professionals
Augma
Xin Wei, DDS, PhD, MS 1st edition
09/16/2019, last revision
12/28/2019