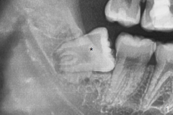
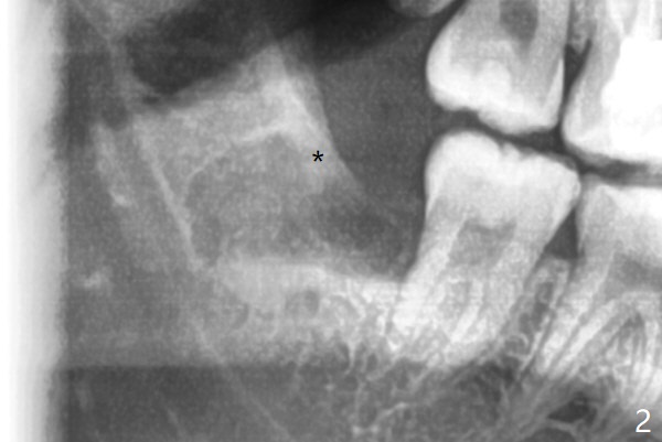
20岁女由于右下智齿疼痛就诊,诊断后,要求先拔除两个下颌智齿。外斜嵴好像跨越牙槽窝远中(图一:*),拔除似乎没有缩短外斜嵴长度(图二:*),牙槽窝放置胶原塞。

外斜嵴延申     Last     Next

Xin Wei, DDS, PhD, MS 1st edition 01/13/2021, last revision 01/13/2021