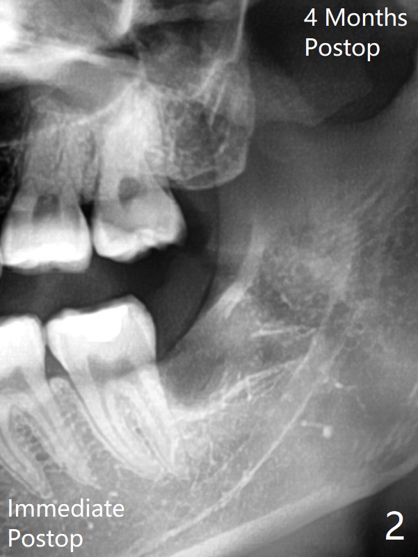
预防干槽症

23岁女右上,左上8蛀牙(图一),左上拔除4个月后,回来拔除左下8(图二),为了防止干槽症,放置胶原塞。

Return to Plug
Xin Wei, DDS, PhD, MS 1st edition 12/03/2020, last revision 12/10/2020