![]() |
![]() |
![]() |
![]() |
Multiple Sectioning for Slightly Buccal Impaction
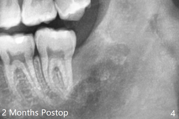
A 21-year-old man returns to clinic with pain and swelling at #17 (Fig.1,2). After multiple sectioning, the tooth is extracted with insertion of collagen plug post extraction in the late afternoon. The patient complains of sharp pain during local anesthetic injection. Postop paresthesia is gradually getting better, but gets worse 2 months postop (Fig.3,4). Neurotin is prescribed. Vitamin B1 and B12 are recommended. OMFS is suggested. 21岁男因左下智齿肿痛要求拔除(图一,二),术中发现轻度颊侧阻生,使用一只利多卡因,一只Septocaine,一般前者block anesthesia,后者infiltration。多次用手机切割牙齿,拔除后牙槽窝放置一个胶原塞(减少术后干槽症),4-0铬羊肠线缝合。术后两个月病人突然回来,主诉局麻注射造成剧痛,术后下嘴唇麻木开始逐渐好转,最近麻木突然加重(图三,四)。左下智齿牙槽窝已经愈合。处方:Neurotin;推荐维生素B1, B12;建议口外会诊。还能做什么?
Return to
Plug 智齿拔除
Xin Wei,
DDS, PhD, MS 1st edition 05/11/2021, last revision
07/18/2021