Collagen Plug for Bone Regeneration?

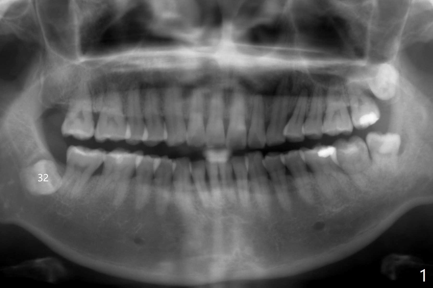
A 44-year-old woman agrees to have #32 extraction to alleviate #31 distal bone loss (Fig.1).  IANB, hockey-stick incision made, reflected mucoperiosteal flap, buccodistal trough, sectioned for multiple times, straight elevator/forceps removal, curette to remove tooth bud sac, copious irrigation, IA neurovascular bundle partially exposed, intact, + hemorrhage, packed with 1 piece of CollaForm plug and 1 and 1/2 Osteogen plug and Vanilla Cancellous/Cortical Mix in the socket, latter was washed out by bleeding, 4-0 plain gut suture, 2x2 gauze, hemostatic, watched in office for 1/2 hour, changed gauze once, hemostatic, bite block used during ext. Pt was doing fine, satisfied and with good anesthesia. Oral/written POI and extra gauze given. Amoxicillin, Medrol dose pak, Tylenol III, Called pt by the evening. She has mild pain in throat and mild swelling. Sensation returns. There is no hemorrhage.  Six days postop, "pain is being reduced".  There is light R facial swelling and localized induration.  No erythema is observed in the extraction site.  Six months postop, the tooth #31 has mobility I/II (Fig.2).  The patient can chew with it and is satisfied.  One year postop, "LR tooth loose. I dare not to use it". There is no BOP including #31 with mobility II.  There is bone regeneration at #32 socket 2 years 9 months postop (Fig.3).

Return to Plug Allograft 智齿拔除

Xin Wei, DDS, PhD, MS 1st edition 09/20/2018, last revision 07/17/2021