![]() |
![]() |
![]() |
右下第二磨牙远中龋处理
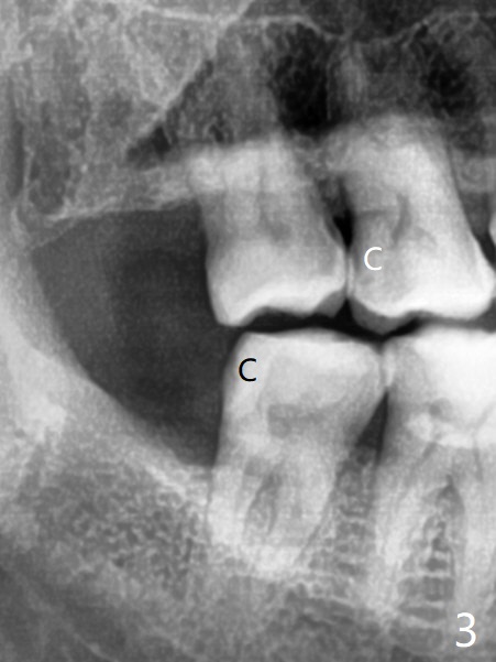
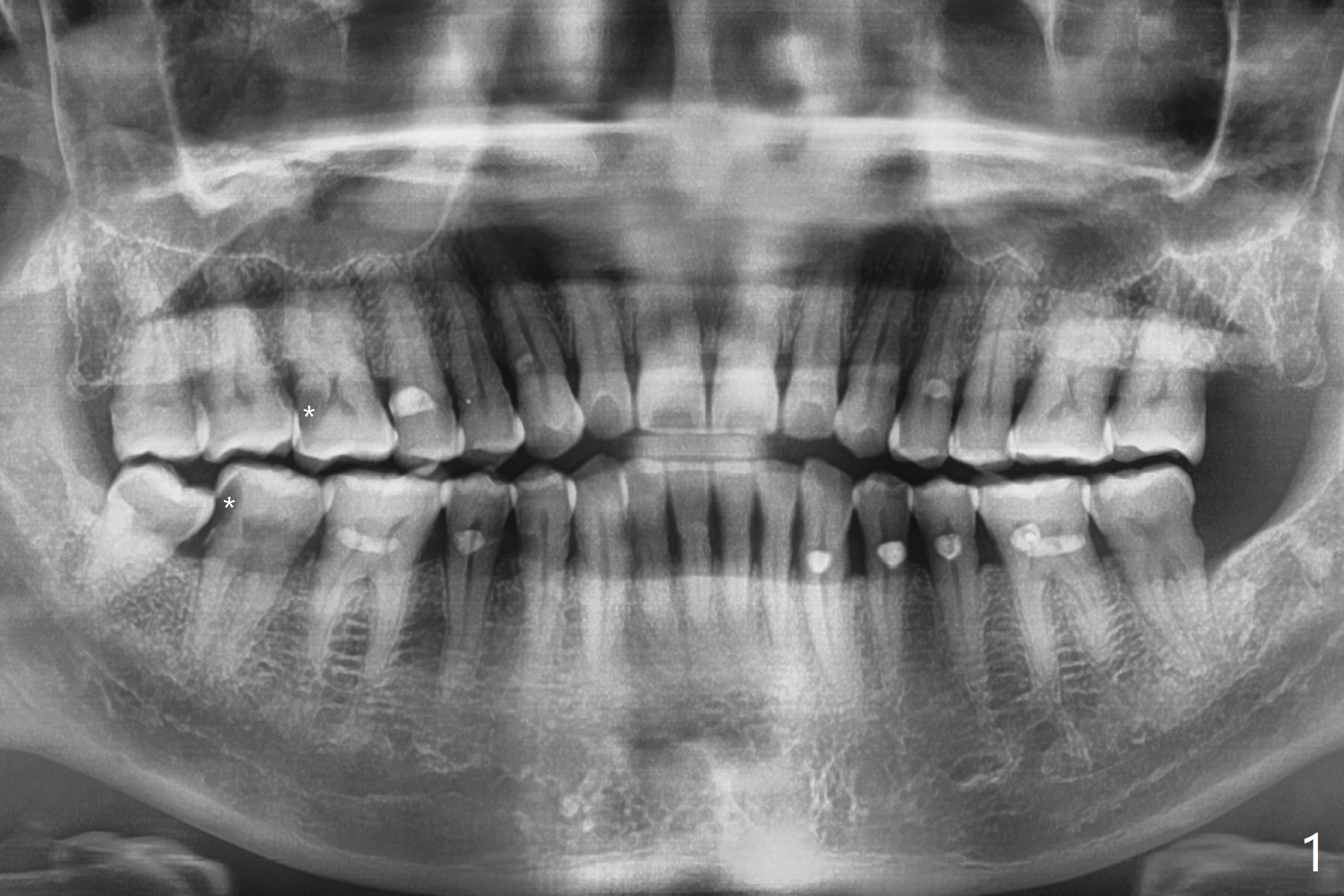
51岁男牙周炎,坚持他有蛀牙,全景片和根尖片显示右上第一右下第二磨牙远中龋(图一,二 *)。稍微分离右下智齿颊侧牙龈,分冠拔除,纱布塞入拔牙窝,好像第二磨牙远中龋去除比较容易,所以决定同期树脂修复。为了防止树脂脱落,去除龋坏后,在咬合面制备鸠尾。当时为了图省事,没有使用成型片,反而费时,尽管用纱布止血隔离,效果不好,徒手堆树脂不方便,尤其是牙龈处。下次必须用二号成型片,剪去近中牙龈部分,让远中部分完全入位,特别是牙龈缘。最后在拔牙窝放置胶原塞,缝合,防止干槽症。七天后缝线消失,伤口仿佛愈合,右下七没有症状。右上第一磨牙DO树脂修复,好像接近远中舌侧牙髓角,术后全景片(图三)似乎证实这一点。
Return to
Plug
Xin Wei,
DDS, PhD, MS 1st edition 07/29/2020, last revision
08/06/2020