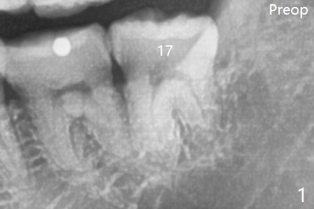
A 40-year-old man requests extraction of the teeth #17 and 32 (Fig.1).
Ossification Last Next
Xin Wei, DDS, PhD, MS 1st edition 01/26/2020, last revision 01/27/2020