![]() |
![]() |
![]() |
Quick Bone Formation M
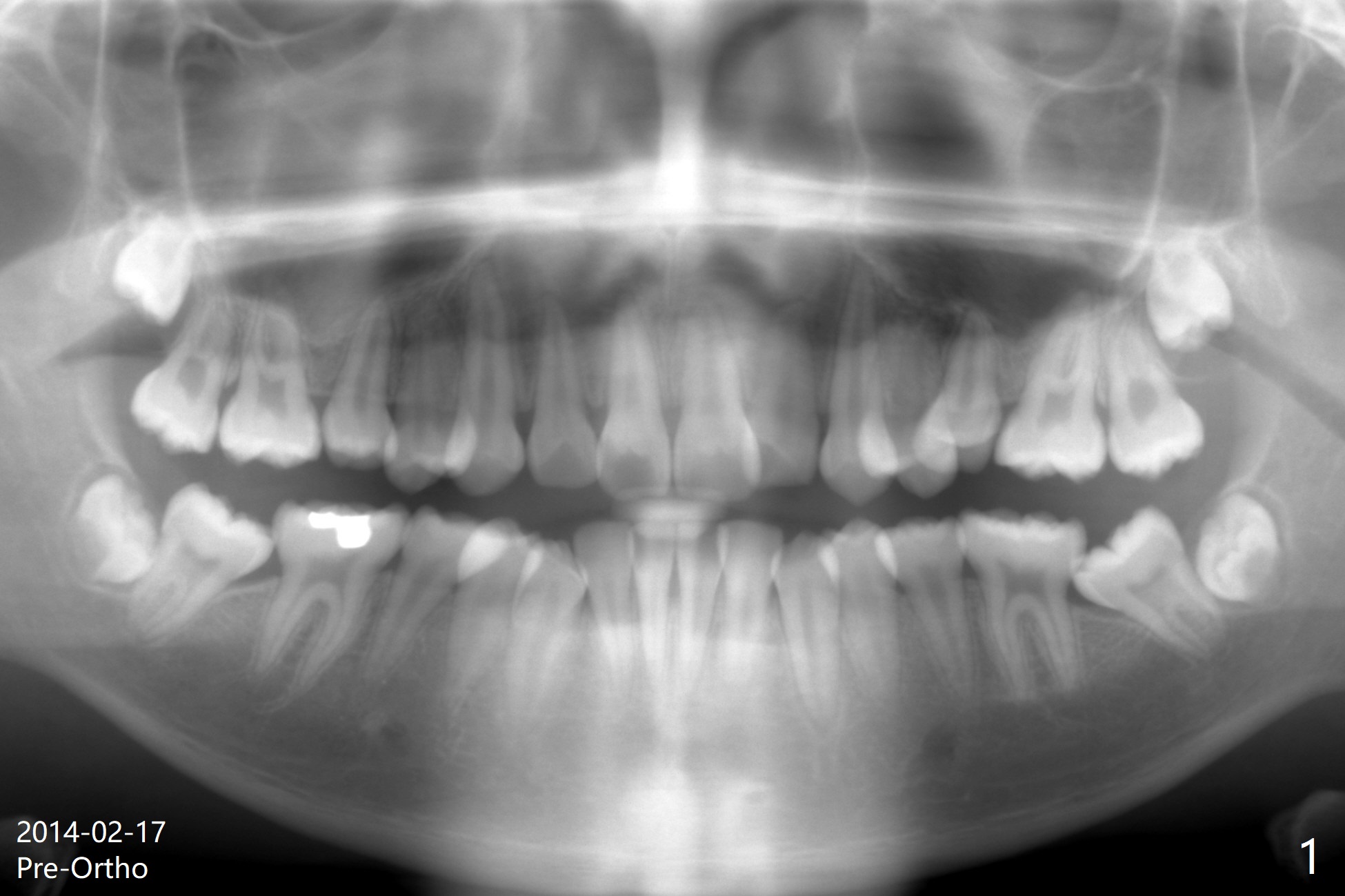
A 19-year-old man with history of orthodontic treatment (Fig.1,2) returns to office for #1,16,17,32 extraction with Collagen Plug placement at #17 and 32 (4-0 plain gut suture). The sockets heal in 4.5 months (Fig.3).
Return to
Ortho Cases
Plug
Xin Wei, DDS, PhD, MS 1st edition
01/04/2020, last revision
01/04/2020