![]() |
|
![]() |
![]() |
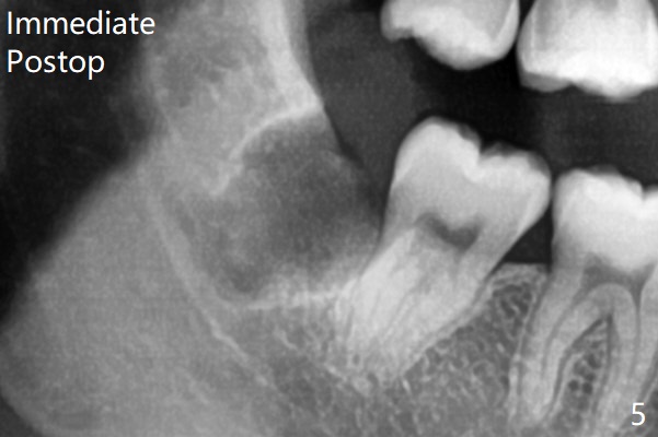
Extraction of #32 is easy, relative to #1 (Fig.5 (collagen plug placed)). There is no communication with the Inferior Alveolar Canal intraoperatively. #32 overlaps with #31, but incision is not placed mesial enough.
Collagen vs. Osteogen Plug Last Next
Xin Wei, DDS, PhD, MS 1st edition 08/15/2020, last revision 08/15/2020