![]() |
![]() |
![]() |
![]() |
![]() |
![]() |
智齿龈切,骨切(crown lengthening)
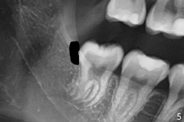
19岁女抱怨右下智齿远中龈下食物坎塞,不希望拔除,因为缺牙太多:先天性缺失一个下切牙,为了矫正又拔除4个双尖牙(图一)。临床检查32号牙远中牙龈覆盖(图二:*),而17号牙萌出不多(图三),没有食物坎塞史。局麻下,使用Diode Laser (Picasso)切除牙龈直到智齿远中咬合面暴露(图四)。术后突然意识到为了防止牙龈重新覆盖,必须做crown lengthening,也就是切除远中骨质(图五(黑色),与图一’对比),是吗?随访时利用Shining口扫记录,拍摄角度好。
Return to
Plug
Oral
Scanner
Xin Wei,
DDS, PhD, MS 1st edition 06/29/2021, last revision
06/29/2021