![]() |
![]() |
![]() |
![]() |
No Bone Graft: Defect heals By Itself
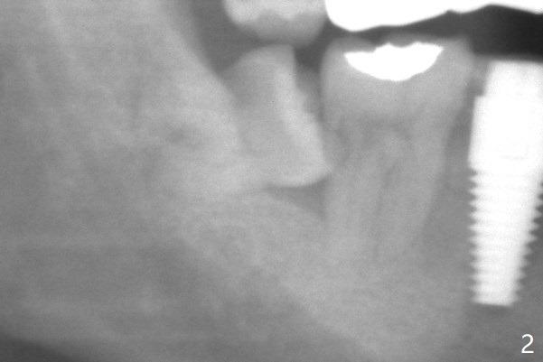
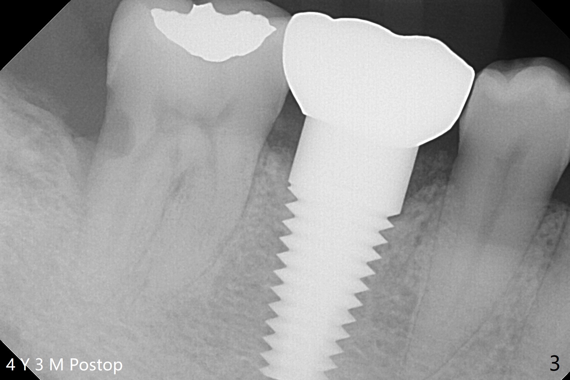
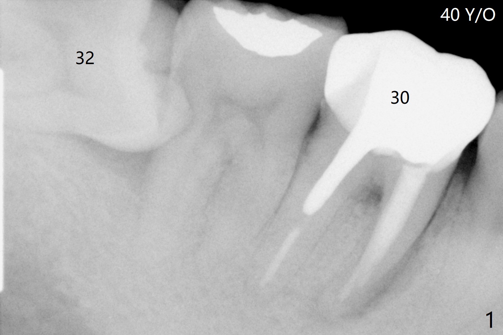
A 40-year-old man had the tooth #32 extracted without bone graft immediate post #30 implant placement (Fig.1,2). The distal bony defect of the tooth #31 appears to have been repaired 4 years postop (Fig.3,4).
Return to
Plug
Xin Wei,
DDS, PhD, MS 1st edition 07/18/2014, last revision
09/18/2020