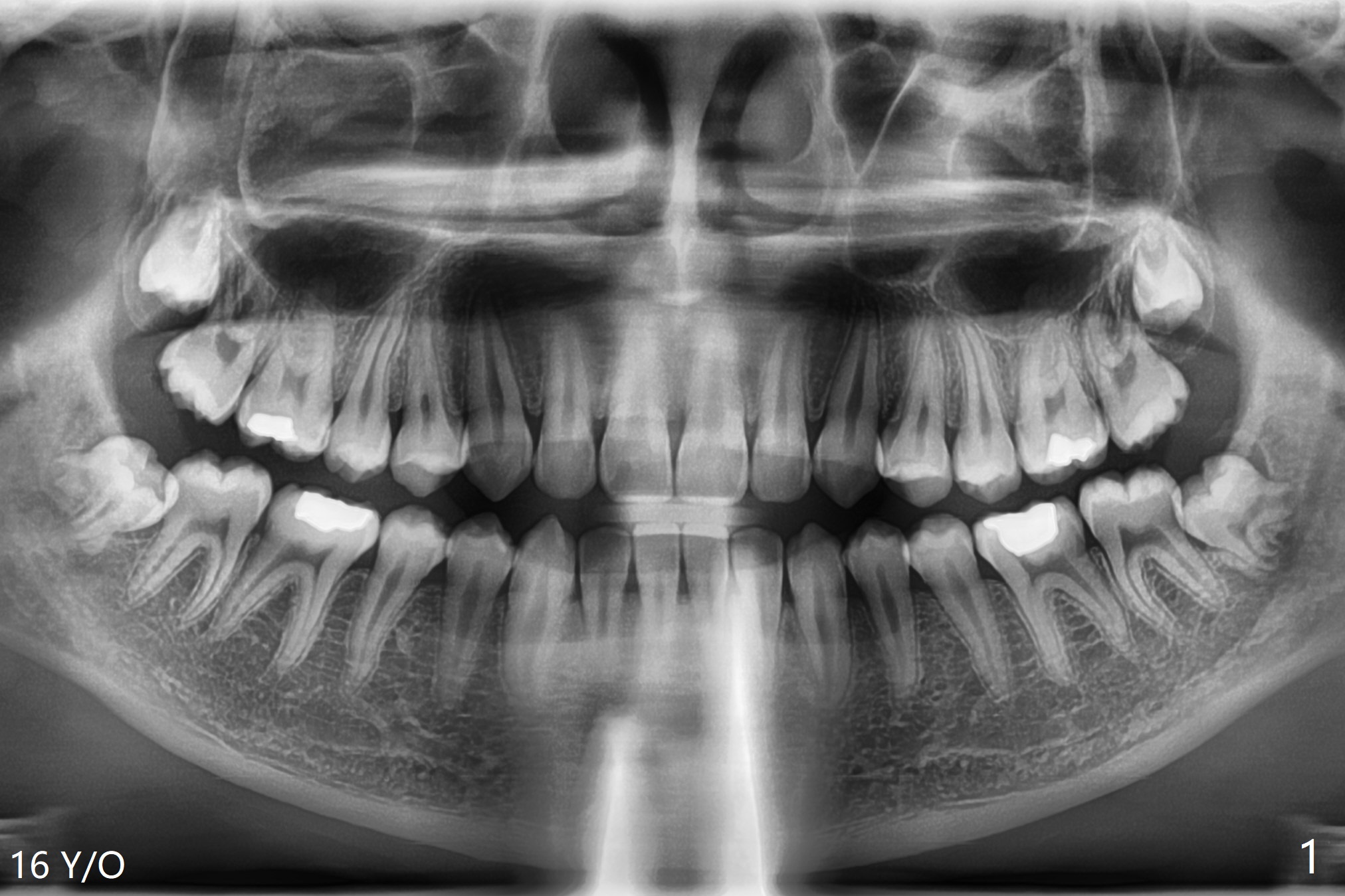
16岁男孩

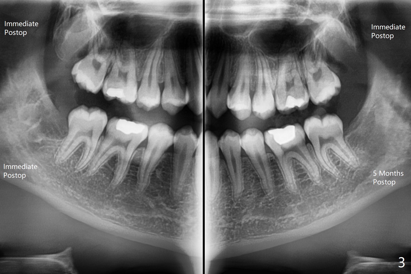
左下智齿疼痛(图一),截骨后牙齿容易松动,然后切断两次,顺利拔除,放置Osteogen Plug,4-0 铬羊肠线缝合(图二)。5个月后另外三个智齿拔除(右下放置胶原塞;上智齿拔除盲目,困难,稍微早些),左下智齿牙槽窝愈合(图三);近中牙槽嵴重建。

Return to Plug 智齿拔除 Xin Wei, DDS, PhD, MS 1st edition 02/11/2021, last revision 07/19/2021