![]() |
![]() |
Postop Hemorrhage
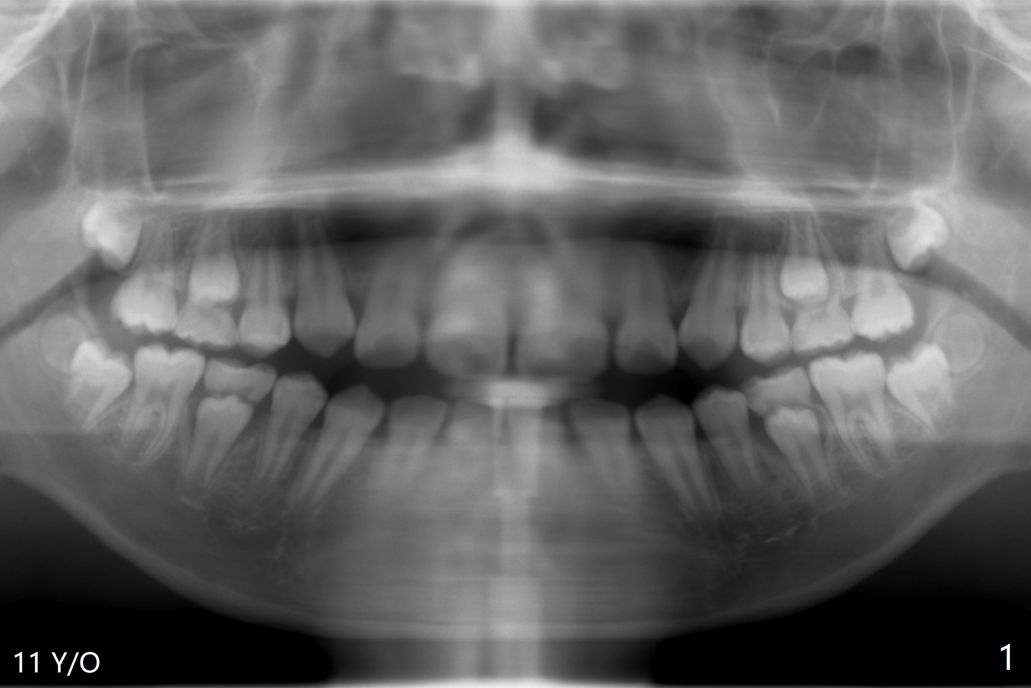
The teeth #17 and 32 are developing at the age of 11 of a woman (Fig.1). She requests extraction at the age of 20 (Fig.2 (anterior open bite)). While buccodistal trough is created for both of them, the one at #32 needs a sectioning before removal. Osteogen plug is applied for both of them. Postop hemorrhage occurs at #32 for 2 days.
Return to
Plug
Xin Wei, DDS, PhD, MS 1st edition
11/19/2019, last revision
11/22/2019