![]() |
![]() |
![]() |
![]() |
Sockets Heals Without Delay
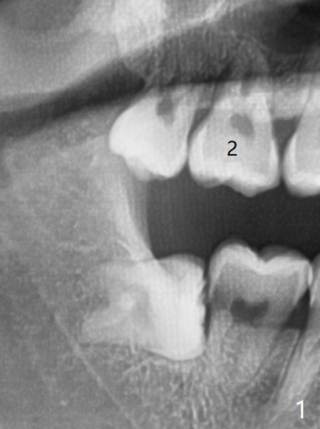
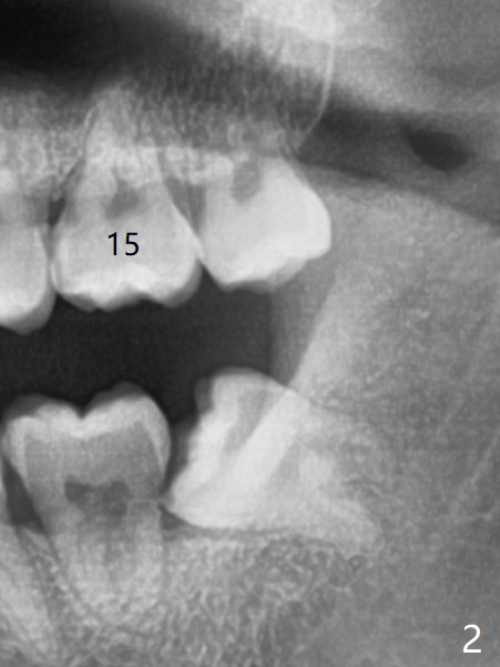
A 19-year-old man with mental retardation returns to clinic for extraction of the 3rd molars in 2 visits (Fig.1,2). The sockets heal without delay (Fig.3,4).
Return to
Plug
Xin Wei, DDS, PhD, MS 1st edition
03/04/2020, last revision
03/04/2020