![]() |
![]() |
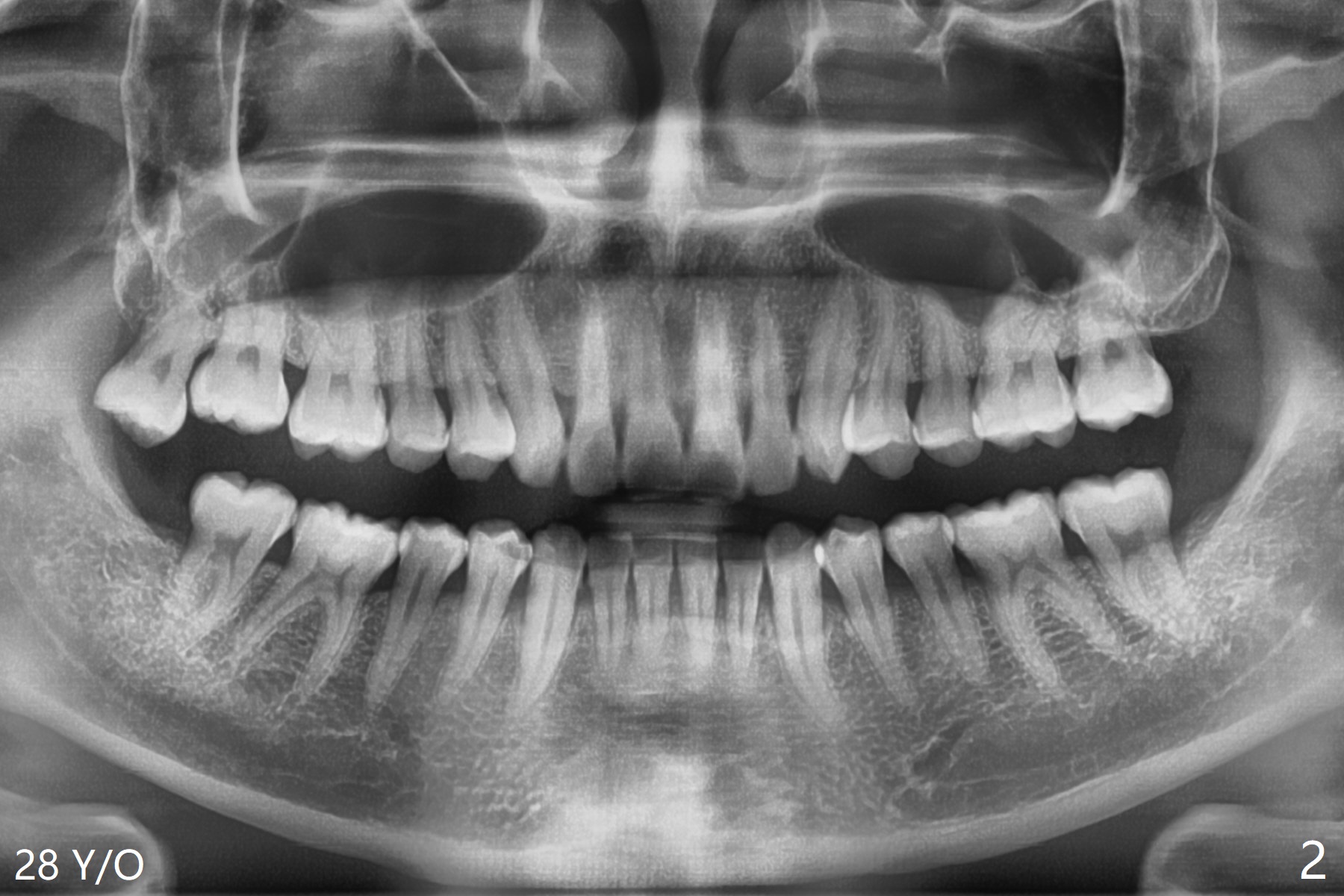
4-Year Follow-Up
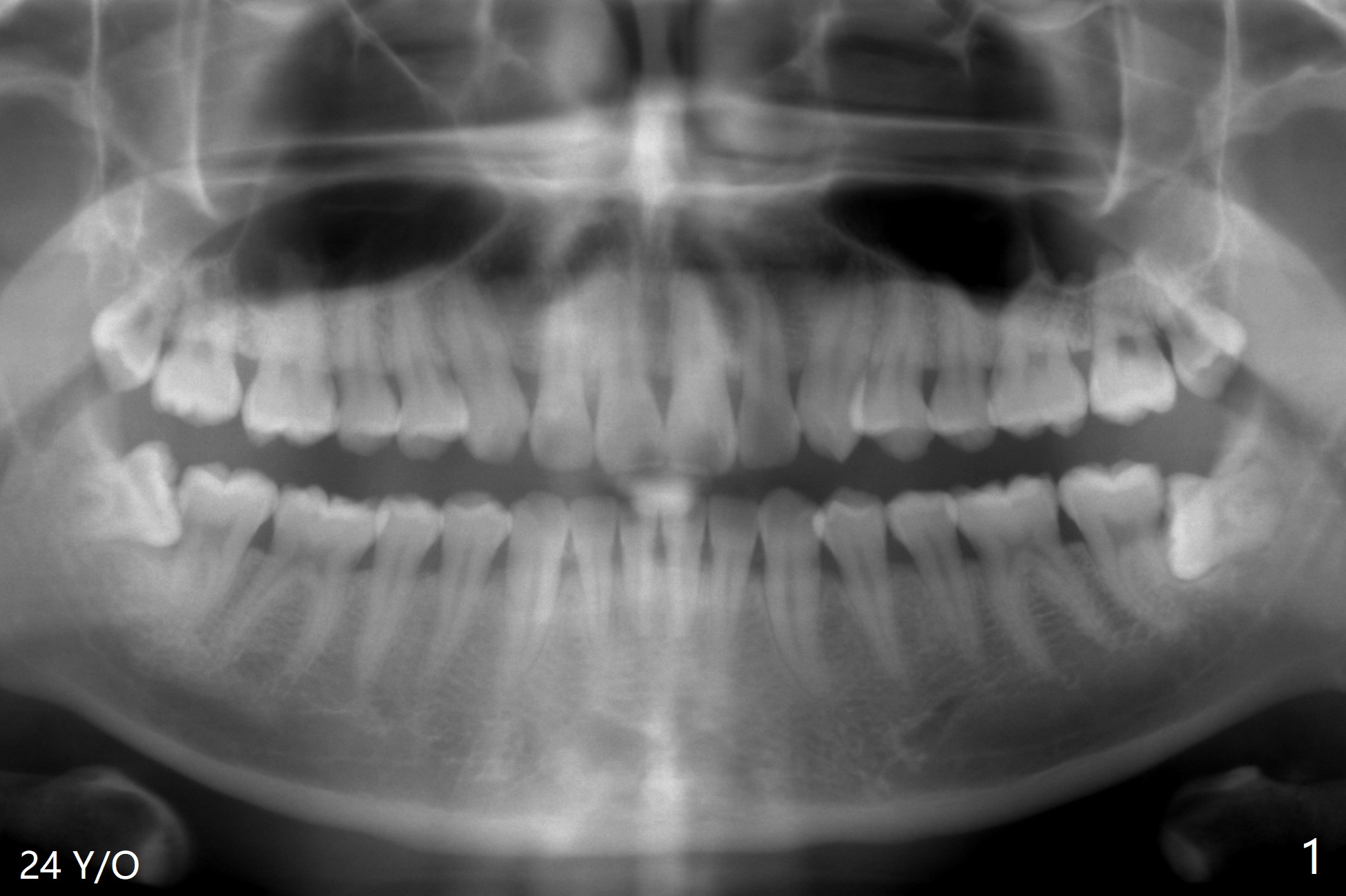
A 24-year-old man presents to clinic for #16, 17 and 32 extraction (Fig.1). Osteogen plug is placed in the last two sockets. All of the 3 sockets heal 4 years later (Fig.2). The tooth #1 is extracted.
Return to
Plug
Xin Wei,
DDS, PhD, MS 1st edition 09/11/2020, last revision
09/11/2020