![]() |
![]() |
Distoangular
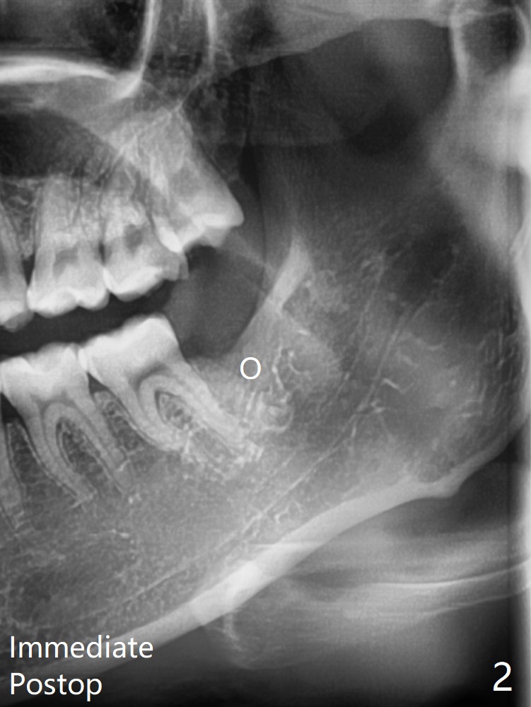
A 23-year-old woman requests #17 extraction because of pain as related to late night lactation (Fig.1 (food <)). The tooth is removed with buccal trough and sectioning (avoiding mesial elevation as much as possible). Osteogen plug is placed against the mesial wall of the socket (horizontal placement, Fig.2).
Return to
Plug
Xin Wei,
DDS, PhD, MS 1st edition 08/17/2020, last revision
08/17/2020